The SUMO4 Monoclonal Antibody (CAB9016) is a high-quality antibody developed for reliable detection and analysis of target proteins. This antibody, developed using rabbit monoclonal technology, has high specificity and sensitivity for detecting SUMO4 in human samples. Validated for use in Western blotting applications, it enables precise detection and analysis of SUMO4 in various cell types.SUMO4, a member of the Small Ubiquitin-related Modifier (SUMO) family, is involved in the modification of proteins that regulate immune responses and inflammation. Its role in immune regulation makes it a target of interest in studies related to immunology, autoimmune diseases, and cancer.
This antibody is validated for use in WB, IHC-P, IF/ICC, ELISA applications and has demonstrated reactivity against Human, Mouse, Rat samples.
Product Name:
SUMO4 Monoclonal Antibody
SKU:
CAB9016
Size:
20μL, 100μL
Reactivity:
Human, Mouse, Rat
Clone Number:
ARC1382
Conjugate:
Unconjugated
Immunogen:
Recombinant protein (or fragment).This information is considered to be commercially sensitive.
Recommended starting concentration is 1 μg/mL. Please optimize the concentration based on your specific assay requirements.
Synonyms:
IDDM5, SMT3H4, SUMO-4, dJ281H8.4, SUMO4
Positive Sample:
293T, A-431, Raji, Mouse lung, Mouse brain, Rat lung
Cellular Localization:
Nucleus.
Calculated MW:
11kDa
Observed MW:
17kDa
This gene is a member of the SUMO gene family. This family of genes encode small ubiquitin-related modifiers that are attached to proteins and control the target proteins' subcellular localization, stability, or activity. The protein described in this record is located in the cytoplasm and specifically modifies IKBA, leading to negative regulation of NF-kappa-B-dependent transcription of the IL12B gene. A specific polymorphism in this SUMO gene, which leads to the M55V substitution, has been associated with type I diabetes. The RefSeq contains this polymorphism.
Purification Method
Affinity purification
Gene ID
387082
RRID
AB_2863641
Buffer Information
Store at -20℃. Avoid freeze / thaw cycles. Buffer: PBS containing 50% glycerol and 0.05% BSA, preserved with proclin300 or sodium azide, pH 7.3.
Western blot analysis of various lysates using SUMO4 Rabbit mAb (CAB9016) at 1:500 dilution. Secondary antibody: HRP-conjugated Goat anti-Rabbit IgG (H+L) (CABS014) at 1:10000 dilution. Lysates/proteins: 25μg per lane. Blocking buffer: 3% nonfat dry milk in TBST. Detection: ECL Basic Kit (AbGn00020). Exposure time: 30s.
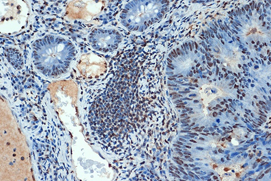
Immunohistochemistry analysis of paraffin-embedded Human colon carcinoma using SUMO4 Rabbit mAb (CAB9016) at dilution of 1:100 (40x lens). Microwave antigen retrieval performed with 0.01M Tris/EDTA Buffer (pH 9.0) prior to IHC staining.
Immunofluorescence analysis of U-2 OS cells using SUMO4 Rabbit mAb (CAB9016) at dilution of 1:100 (40x lens). Secondary antibody: Cy3-conjugated Goat anti-Rabbit IgG (H+L) (CABS007) at 1:500 dilution. Blue: DAPI for nuclear staining.