The SURF4 Antibody (CAB16744) is a high-quality antibody developed for reliable detection and analysis of target proteins. This gene is located in the surfeit gene cluster, which is comprised of very tightly linked housekeeping genes that do not share sequence similarity. The encoded protein is a conserved integral membrane protein that interacts with endoplasmic reticulum-Golgi intermediate compartment proteins. Disruption of this gene results in reduced numbers of endoplasmic reticulum-Golgi intermediate compartment clusters and redistribution of coat protein I to the cytosol. Alternate splicing results in multiple transcript variants.
This antibody is validated for use in WB, IHC-P, IF/ICC, ELISA applications and has demonstrated reactivity against Human, Mouse, Rat samples.
Product Name:
SURF4 Antibody
SKU:
CAB16744
Size:
100μL, 20μL
Reactivity:
Human, Mouse, Rat
Immunogen:
Synthetic peptide. This information is considered to be commercially sensitive.
Tested Applications:
WBIHC-PIF/ICCELISA
Recommended Dilution:
WB
1:500 - 1:1000
IHC-P
1:50 - 1:200
IF/ICC
1:50 - 1:200
ELISA
Recommended starting concentration is 1 μg/mL. Please optimize the concentration based on your specific assay requirements.
This gene is located in the surfeit gene cluster, which is comprised of very tightly linked housekeeping genes that do not share sequence similarity. The encoded protein is a conserved integral membrane protein that interacts with endoplasmic reticulum-Golgi intermediate compartment proteins. Disruption of this gene results in reduced numbers of endoplasmic reticulum-Golgi intermediate compartment clusters and redistribution of coat protein I to the cytosol. Alternate splicing results in multiple transcript variants.
Purification Method
Affinity purification
Gene ID
6836
RRID
AB_2772476
Buffer Information
Store at -20℃. Avoid freeze / thaw cycles. Buffer: PBS with 0.09% sodium azide,50% glycerol,pH7.3.
Western blot analysis of lysates from HepG2 cells, using SURF4 Rabbit pAb (CAB16744) at 1:1000 dilution. Secondary antibody: HRP-conjugated Goat anti-Rabbit IgG (H+L) (AS014) at 1:10000 dilution. Lysates/proteins: 25μg per lane. Blocking buffer: 3% nonfat dry milk in TBST. Detection: ECL Basic Kit (AbGn00020). Exposure time: 30s.
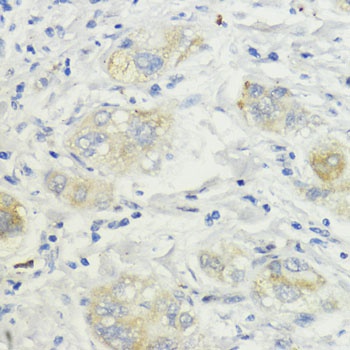
Immunohistochemistry analysis of paraffin-embedded Human liver cancer using SURF4 Rabbit pAb (CAB16744) at dilution of 1:200 (40x lens). Microwave antigen retrieval performed with 0.01M PBS Buffer (pH 7.2) prior to IHC staining.
Immunofluorescence analysis of C6 cells using SURF4 Rabbit pAb (CAB16744) at dilution of 1:100 (40x lens). Secondary antibody: Cy3-conjugated Goat anti-Rabbit IgG (H+L) (AS007) at 1:500 dilution. Blue: DAPI for nuclear staining.
Immunofluorescence analysis of NIH/3T3 cells using SURF4 Rabbit pAb (CAB16744) at dilution of 1:100 (40x lens). Secondary antibody: Cy3-conjugated Goat anti-Rabbit IgG (H+L) (AS007) at 1:500 dilution. Blue: DAPI for nuclear staining.