TBC1D19 Antibody is a premium polyclonal that offers outstanding performance and reliability for demanding research applications. Rigorously validated for ELISA, WB, IHC, this antibody ensures consistent, reproducible results across multiple experimental platforms. Demonstrates excellent reactivity with Human samples, providing researchers with confidence in cross-species compatibility. Conveniently packaged in 50ug format to meet your experimental needs. For optimal performance, store at -20°C or -80°C and maintains stability for 12 months. Backed by rigorous quality control testing to ensure superior performance in your critical research applications.
Product Name:
TBC1D19 Antibody
SKU:
PACO39086
Size:
50μg
Isotype:
IgG
Host Species:
Rabbit
Reactivity:
Human
Immunogen:
Recombinant Human TBC1 domain family member 19 protein (1-300AA)
Immunogen Species:
Homo sapiens (Human)
Uniprot No:
Q8N5T2
Form:
Liquid
Tested Applications:
ELISAWBIHC
Recommended Dilution:
Application
Recommended Dilution
WB
1:500-1:2000
IHC
1:20-1:200
Synonyms:
2810453K03Rik antibody, FLJ11082 antibody, RGD1304958 antibody, TBC1 domain family member 19 antibody, TBC19_HUMAN antibody, TBC1D19 antibody
Western blot All lanes: TBC1D19 antibody at 9µg/ml Lane 1: U251 whole cell lysate Lane 2: A375 whole cell lysate Secondary Goat polyclonal to rabbit IgG at 1/10000 dilution Predicted band size: 61, 53 kDa Observed band size: 61 kDa
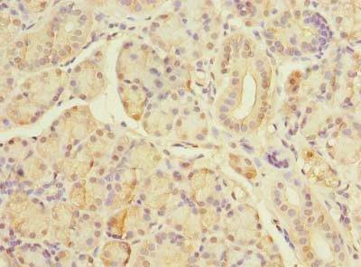
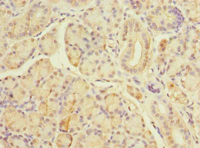
Immunohistochemistry of paraffin-embedded human pancreatic tissue using PACO39086 at dilution of 1:100
Immunohistochemistry of paraffin-embedded human testis tissue using PACO39086 at dilution of 1:100