The TCTE1 Polyclonal Antibody (CAB15216) is an essential tool for researchers studying the TCTE1 protein, a component of the t-complex tctex-1-like protein complex involved in various cellular processes. This antibody, produced in rabbits, demonstrates high reactivity with human samples and is validated for use in Western blot applications. By binding to the TCTE1 protein, this antibody enables reliable detection and analysis in a variety of cell types, making it an excellent choice for studies in cell biology and molecular biology.
TCTE1 is known for its role in microtubule-based processes and its involvement in ciliary function, making it a key player in cellular transport and signaling pathways. Research into TCTE1 is particularly relevant in the fields of cell biology and developmental biology, as well as in understanding cilia-related disorders and diseases. By investigating the function and regulation of TCTE1, researchers can gain insights into fundamental cellular processes and potentially uncover new therapeutic targets for various conditions.
Product Name:
TCTE1 Rabbit Polyclonal Antibody
SKU:
CAB15216
Size:
20uL, 100uL
Isotype:
IgG
Host Species:
Rabbit
Reactivity:
Human,Mouse,Rat
Immunogen:
Recombinant fusion protein containing a sequence corresponding to amino acids 1-300 of human TCTE1 (NP_872345.2).
Predicted to be involved in flagellated sperm motility. Predicted to be located in sperm flagellum.
Purification Method:
Affinity purification
Gene ID:
202500
Storage Buffer:
Store at -20℃. Avoid freeze / thaw cycles.Buffer: PBS with 0.01% thimerosal,50% glycerol,pH7.3.
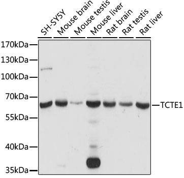
Western blot analysis of various lysates using TCTE1 Rabbit pAb (CAB15216) at 1:1000 dilution.Secondary antibody: HRP Goat Anti-Rabbit IgG (H+L) (CABS014) at 1:10000 dilution.Lysates/proteins: 25μg per lane.Blocking buffer: 3% nonfat dry milk in TBST.Detection: ECL Basic Kit (AbGn00020).Exposure time: 15s.