The TDRD12 Polyclonal Antibody (PAC048638) is a vital tool for researchers studying the TDRD12 protein, which plays a key role in RNA metabolism and gene expression regulation. This antibody, generated in rabbits, exhibits high specificity and sensitivity towards human samples, making it ideal for use in Western blotting and immunofluorescence applications.TDRD12 is a member of the Tudor domain-containing protein family and is involved in RNA processing and post-transcriptional gene regulation. It is known to interact with various RNA-binding proteins and play a crucial role in the formation of RNA granules important for RNA metabolism.
Research on TDRD12 is essential for understanding its functions in cellular processes such as mRNA localization, translation regulation, and RNA stability.By using the TDRD12 Polyclonal Antibody, researchers can accurately detect and analyze TDRD12 expression in different cell types and tissues, allowing for a better understanding of its role in RNA biology. This antibody is a valuable tool for studies in molecular biology, RNA research, and developmental biology, providing insights into the mechanisms governing gene expression and RNA regulation.
Antibody Name:
TDRD12 Antibody (PACO48638)
Antibody SKU:
PACO48638
Size:
50ug
Host Species:
Rabbit
Tested Applications:
ELISA, IHC
Recommended Dilutions:
ELISA:1:2000-1:10000, IHC:1:20-1:200
Species Reactivity:
Human
Immunogen:
Recombinant Human Putative ATP-dependent RNA helicase TDRD12 protein (991-1164AA)
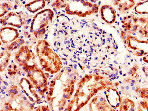
Immunohistochemistry of paraffin-embedded human kidney tissue using PACO48638 at dilution of 1:100.
Background:
Probable ATP-binding RNA helicase required during spermatogenesis to repress transposable elements and preventing their mobilization, which is essential for the germline integrity. Acts via the piRNA metabolic process, which mediates the repression of transposable elements during meiosis by forming complexes composed of piRNAs and Piwi proteins and governs the methylation and subsequent repression of transposons. Involved in the secondary piRNAs metabolic process. Acts via the PET complex, a multiprotein complex required during the secondary piRNAs metabolic process for the PIWIL2 slicing-triggered loading of PIWIL4 piRNAs.
TDRD12: 2 isoforms of the human protein are produced by alternative splicing.Protein type: EC 3.6.4.13Chromosomal Location of Human Ortholog: 19q13.11Molecular Function: nucleic acid binding; helicase activity; ATP bindingBiological Process: fertilization; multicellular organismal development; DNA methylation during gametogenesis; spermatogenesis; RNA-mediated gene silencing; gene expression; male meiosis; cell differentiation