The TFEB Polyclonal Antibody (CAB21657) is a high-quality antibody developed for reliable detection and analysis of target proteins. This antibody, generated in rabbits, exhibits high specificity and sensitivity for detecting TFEB in a variety of cellular samples. Its validation for use in techniques such as Western blotting ensures reliable and accurate results in research focused on cellular homeostasis, metabolism, and autophagy regulation.TFEB is a key player in the cellular response to stress, nutrient availability, and energy balance, making it essential for maintaining cellular health and function.
This antibody is validated for use in WB, IHC-P, IF/ICC, ELISA applications and has demonstrated reactivity against Human, Mouse, Rat samples.
Product Name:
TFEB Polyclonal Antibody
SKU:
CAB21657
Size:
20μL, 100μL
Reactivity:
Human, Mouse, Rat
Conjugate:
Unconjugated
Immunogen:
Recombinant protein (or fragment).This information is considered to be commercially sensitive.
Enables DNA-binding transcription factor activity; enzyme binding activity; and transcription cis-regulatory region binding activity. Involved in several processes, including cellular response to amino acid starvation; lysosome localization; and positive regulation of autophagy. Located in cytosol; lysosomal membrane; and nucleoplasm.
Purification Method
Affinity purification
Gene ID
7942
Buffer Information
Store at -20℃. Avoid freeze / thaw cycles. Buffer: Buffer: PBS containing 50% glycerol, preserved with proclin300 or sodium azide, pH 7.3.
Western blot analysis of various lysates, using TFEB Rabbit pAb (CAB21657) at 1:1000 dilution. Secondary antibody: HRP-conjugated Goat anti-Rabbit IgG (H+L) (CABS014) at 1:10000 dilution. Lysates/proteins: 25μg per lane. Blocking buffer: 3% nonfat dry milk in TBST. Detection: ECL Basic Kit (AbGn00020). Exposure time: 60s.
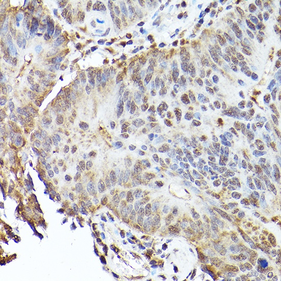
Immunohistochemistry analysis of paraffin-embedded Human colon carcinoma using TFEB Rabbit pAb (CAB21657) at dilution of 1:100 (40x lens). High pressure antigen retrieval performed with 0.01M Citrate buffer (pH 6.0) prior to IHC staining.
Immunohistochemistry analysis of paraffin-embedded Rat lung using TFEB Rabbit pAb (CAB21657) at dilution of 1:100 (40x lens). High pressure antigen retrieval performed with 0.01M Citrate buffer (pH 6.0) prior to IHC staining.
Immunofluorescence analysis of NIH/3T3 cells using TFEB Rabbit pAb (CAB21657) at dilution of 1:100 (40x lens). Secondary antibody: Cy3-conjugated Goat anti-Rabbit IgG (H+L) (CABS007) at 1:500 dilution. Blue: DAPI for nuclear staining.
Immunofluorescence analysis of U2OS cells using TFEB Rabbit pAb (CAB21657) at dilution of 1:100 (40x lens). Secondary antibody: Cy3-conjugated Goat anti-Rabbit IgG (H+L) (CABS007) at 1:500 dilution. Blue: DAPI for nuclear staining.