null
100% Quality Guarantee
PhD-Level Technical Support
Key Features

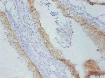
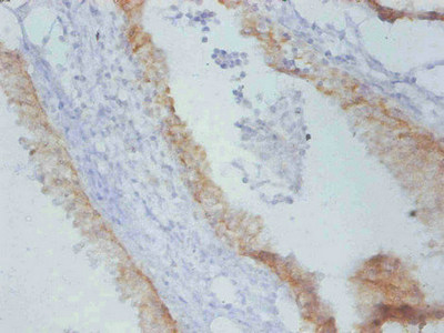
Anti-Timp1 Antibody (MACO0526)

SKU MACO0526
Product Name Timp1 Monoclonal Antibody (MACO0526)
Size 50μg
Isotype IgG1
Host Species Mouse
Reactivity Rat
€368
Global Shipping: 80+ Countries
White Glove Service: Available upon request
Batch Consistency: Contact Sales
Distributors: 60+ Countries

Description

system_update_altDatasheetsystem_update_altMSDS

Timp1 Monoclonal Antibody (MACO0526)

Timp1 Monoclonal Antibody (MACO0526) is a premium monoclonal that offers outstanding performance and reliability for demanding research applications. Rigorously validated for ELISA, IHC, this antibody ensures consistent, reproducible results across multiple experimental platforms. Demonstrates excellent reactivity with Rat samples, providing researchers with confidence in cross-species compatibility. Conveniently packaged in 50ug format to meet your experimental needs. For optimal performance, store at -20°C or -80°C and maintains stability for 12 months. Backed by rigorous quality control testing to ensure superior performance in your critical research applications.

0 Reviews

0
Based on 0 reviews

No reviews yet. Be the first to share your experience!

View AllClose