TMEM38B Antibody is a premium polyclonal that offers outstanding performance and reliability for demanding research applications. Rigorously validated for ELISA, WB, IHC, IF, this antibody ensures consistent, reproducible results across multiple experimental platforms. Demonstrates excellent reactivity with Human, Mouse samples, providing researchers with confidence in cross-species compatibility. Conveniently packaged in 50ug format to meet your experimental needs. For optimal performance, store at -20°C or -80°C and maintains stability for 12 months. Backed by rigorous quality control testing to ensure superior performance in your critical research applications.
Product Name:
TMEM38B Antibody
SKU:
PACO41438
Size:
50μg
Isotype:
IgG
Host Species:
Rabbit
Reactivity:
Human, Mouse
Immunogen:
Recombinant Human Trimeric intracellular cation channel type B protein (249-291AA)
Immunogen Species:
Homo sapiens (Human)
Uniprot No:
Q9NVV0
Form:
Liquid
Tested Applications:
ELISAWBIHCIF
Recommended Dilution:
Application
Recommended Dilution
WB
1:500-1:2000
IHC
1:20-1:200
IF
1:50-1:200
Synonyms:
TMEM38B, C9orf87, Trimeric intracellular cation channel type B, TRIC-B, TRICB, Transmembrane protein 38B
Western blot All lanes: TMEM38B antibody at 1.5µg/ml Lane 1: Mouse thymus tissue Lane 2: Mouse liver tissue Secondary Goat polyclonal to rabbit IgG at 1/10000 dilution Predicted band size: 33 kDa Observed band size: 33 kDa
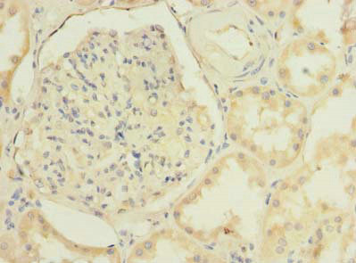
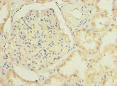
Immunohistochemistry of paraffin-embedded human kidney tissue using PACO41438 at dilution of 1:100
Immunohistochemistry of paraffin-embedded human small intestine tissue using PACO41438 at dilution of 1:100
Immunofluorescent analysis of LO2 cells using PACO41438 at dilution of 1:100 and Alexa Fluor 488-congugated AffiniPure Goat Anti-Rabbit IgG(H+L)