The TMEM45A Polyclonal Antibody (PACO30602) is a valuable tool for researchers studying the TMEM45A protein, which is involved in various cellular processes including cell growth, proliferation, and differentiation. This antibody, produced in rabbits, shows high reactivity with human samples and has been extensively validated for use in Western blot applications.TMEM45A, also known as transmembrane protein 45A, has been linked to cancer progression and metastasis, making it a promising target for cancer research. By binding specifically to the TMEM45A protein, this antibody enables researchers to detect and analyze its expression in different cell types, providing important insights into its function and potential as a therapeutic target.
Understanding the role of TMEM45A in cancer and other diseases is crucial for the development of targeted therapies and personalized treatments. The TMEM45A Polyclonal Antibody is a reliable tool for exploring the biological functions of TMEM45A and its implications in various disease states.
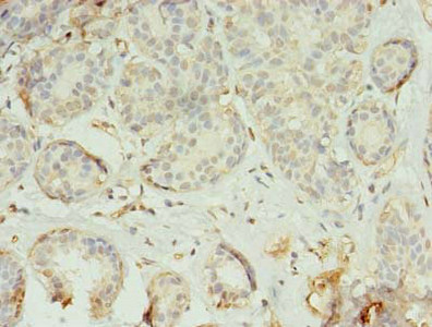
Immunohistochemistry of paraffin-embedded human gastric cancer using PACO30602 at dilution of 1:100.
Immunofluorescent analysis of A2780 cells using PACO30602 at dilution of 1:100 and Alexa Fluor 488-congugated AffiniPure Goat Anti-Rabbit IgG(H+L).
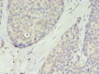
Immunohistochemistry of paraffin-embedded human breast cancer using PACO30602 at dilution of 1:100.
Synonyms:
Transmembrane protein 45A (DNA polymerase-transactivated protein 4) (Dermal papilla-derived protein 7), TMEM45A, DERP7 DNAPTP4
UniProt Protein Function:
TMEM45A: Belongs to the TMEM45 family.Protein type: Membrane protein, multi-pass; Membrane protein, integralChromosomal Location of Human Ortholog: 3q12.2Cellular Component: integral to membrane