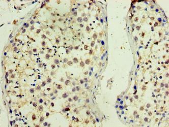
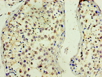
TMX3 Antibody is a premium polyclonal that offers outstanding performance and reliability for demanding research applications. Rigorously validated for ELISA, IHC, this antibody ensures consistent, reproducible results across multiple experimental platforms. Demonstrates excellent reactivity with Human samples, providing researchers with confidence in cross-species compatibility. Conveniently packaged in 50ug format to meet your experimental needs. For optimal performance, store at -20°C or -80°C and maintains stability for 12 months. Backed by rigorous quality control testing to ensure superior performance in your critical research applications.
Product Name:
TMX3 Antibody
SKU:
PACO39326
Size:
50μg
Isotype:
IgG
Host Species:
Rabbit
Reactivity:
Human
Immunogen:
Recombinant Human Protein disulfide-isomerase TMX3 protein (25-195AA)
Immunogen Species:
Homo sapiens (Human)
Uniprot No:
Q96JJ7
Form:
Liquid
Tested Applications:
ELISAIHC
Recommended Dilution:
Application
Recommended Dilution
IHC
1:20-1:200
Synonyms:
KIAA1830 antibody, PDIA13 antibody, Protein disulfide isomerase family A, member 13 antibody, Protein disulfide-isomerase TMX3 antibody, Thioredoxin domain containing 10 antibody, Thioredoxin domain-containing protein 10 antibody, Thioredoxin-related transmembrane protein 3 antibody, TMX3 antibody, TMX3_HUMAN antibody, TXNDC10 antibody