The TCTP/TPT1 Antibody (CAB5442) is a high-quality antibody developed for reliable detection and analysis of target proteins. This antibody, derived from rabbit serum, is highly specific for human samples and has been validated for use in Western blot applications. By binding to the TPT1 protein, researchers can accurately detect and analyze its expression in a wide range of cell types.TPT1, also known as translationally controlled tumor protein, plays a crucial role in regulating cell growth and survival. Its dysregulation has been linked to cancer development and progression, making it a promising target for cancer research.
This antibody is validated for use in WB, ELISA applications and has demonstrated reactivity against Human, Mouse, Rat samples.
Product Name:
TCTP/TPT1 Antibody
SKU:
CAB5442
Size:
20μL, 100μL
Reactivity:
Human, Mouse, Rat
Conjugate:
Unconjugated
Immunogen:
Recombinant protein (or fragment).This information is considered to be commercially sensitive.
This gene encodes a protein that is a regulator of cellular growth and proliferation. Its mRNA is highly structured and contains an oligopyrimidine tract (5'-TOP) in its 5' untranslated region that functions to repress its translation under quiescent conditions. The encoded protein is involved in a variety of cellular pathways, including apoptosis, protein synthesis and cell division. It binds to and stabilizes microtubules, and removal of this protein through phosphorylation is required for progression through mitotic and meiotic cell divisions. This gene is known to play a role in carcinogenesis, and is upregulated in some cancer cells. Alternative splicing results in multiple transcript variants encoding different isoforms.
Purification Method
Affinity purification
Gene ID
7178
RRID
AB_2766244
Buffer Information
Store at -20℃. Avoid freeze / thaw cycles. Buffer: PBS containing 50% glycerol, preserved with proclin300 or sodium azide, pH 7.3.
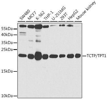
Western blot analysis of various lysates using TCTP/TPT1 Rabbit pAb (CAB5442) at 1:1000 dilution. Secondary antibody: HRP-conjugated Goat anti-Rabbit IgG (H+L) (CABS014) at 1:10000 dilution. Lysates/proteins: 25μg per lane. Blocking buffer: 3% nonfat dry milk in TBST.