TRIM51 Antibody is a premium polyclonal that offers outstanding performance and reliability for demanding research applications. Rigorously validated for ELISA, WB, IHC, this antibody ensures consistent, reproducible results across multiple experimental platforms. Demonstrates excellent reactivity with Human samples, providing researchers with confidence in cross-species compatibility. Conveniently packaged in 50ug format to meet your experimental needs. For optimal performance, store at -20°C or -80°C and maintains stability for 12 months. Backed by rigorous quality control testing to ensure superior performance in your critical research applications.
Product Name:
TRIM51 Antibody
SKU:
PACO40958
Size:
50μg
Isotype:
IgG
Host Species:
Rabbit
Reactivity:
Human
Immunogen:
Recombinant Human Tripartite motif-containing protein 51 protein (160-452AA)
Western blot All lanes: TRIM51 antibody at 1.2µg/ml + Jurkat whole cell lysate Secondary Goat polyclonal to rabbit IgG at 1/10000 dilution Predicted band size: 53, 36 kDa Observed band size: 36 kDa
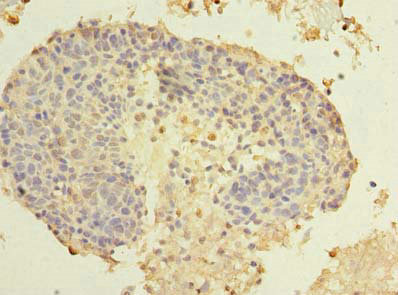
Immunohistochemistry of paraffin-embedded human cervical cancer using PACO40958 at dilution of 1:100
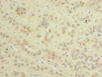
Immunohistochemistry of paraffin-embedded human liver cancer using PACO40958 at dilution of 1:100