The TRIM72 Polyclonal Antibody (PACO06998) is a valuable tool for researchers studying TRIM72, a protein involved in muscle cell differentiation and regeneration. This antibody, produced in rabbits, exhibits high specificity and sensitivity for detecting TRIM72 in human samples, making it ideal for Western blot analysis.TRIM72, also known as MG53, is a key player in muscle repair and protection against muscle injury. Its role in maintaining muscle integrity and regenerating damaged muscle tissue has sparked interest in its potential therapeutic applications for treating muscle-related diseases and injuries.
By targeting TRIM72, researchers can gain insights into its functions and explore its potential as a therapeutic target in the field of muscle biology and medicine.Overall, the TRIM72 Polyclonal Antibody offers researchers a valuable tool for studying TRIM72 protein expression and function in various biological contexts, advancing our understanding of muscle biology and potential therapeutic interventions.
Antibody Name:
TRIM72 Antibody (PACO06998)
Antibody SKU:
PACO06998
Size:
50ug
Host Species:
Rabbit
Tested Applications:
WB, IHC
Recommended Dilutions:
WB:1:1000, IHC:1:200-500
Species Reactivity:
Human, Mouse, Rat
Immunogen:
Recombinant Protein
Form:
Liquid
Storage Buffer:
PBS, pH 7.4, containing 0.02% sodium azide as Preservative and 50% Glycerol.
Purification Method:
Affinity purification
Clonality:
Polyclonal
Isotype:
IgG
Conjugate:
Non-conjugated
Western blot analysis of Mouse skeletal muscle using TRIM72 Polyclonal Antibody.
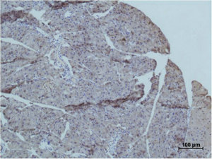
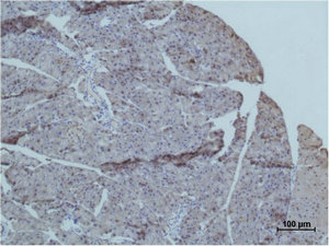
Immunohistochemical analysis of paraffin-embedded Mouse PancreasTissue using TRIM72 Polyclonal Antibody.