TSC2 Antibody is a premium polyclonal that offers outstanding performance and reliability for demanding research applications. Rigorously validated for ELISA, IHC, this antibody ensures consistent, reproducible results across multiple experimental platforms. Demonstrates excellent reactivity with Human, Mouse, Rat samples, providing researchers with confidence in cross-species compatibility. Conveniently packaged in 50ul format to meet your experimental needs. For optimal performance, store at -20°C or -80°C and maintains stability for 12 months. Backed by rigorous quality control testing to ensure superior performance in your critical research applications.
Product Name:
TSC2 Antibody
SKU:
PACO20790
Size:
50μl
Isotype:
IgG
Host Species:
Rabbit
Reactivity:
Human, Mouse, Rat
Immunogen:
Synthetic peptide of Human TSC2
Immunogen Species:
Homo sapiens (Human)
Uniprot No:
P49815
Form:
Liquid
Tested Applications:
ELISAIHC
Recommended Dilution:
Application
Recommended Dilution
ELISA
1:2000-1:5000
IHC
1:25-1:100
Target Names:
TSC2
Storage Buffer:
-20°C, pH7.4 PBS, 0.05% NaN3, 40% Glycerol
Purification:
Antigen affinity purification
Conjugate:
Non-conjugated
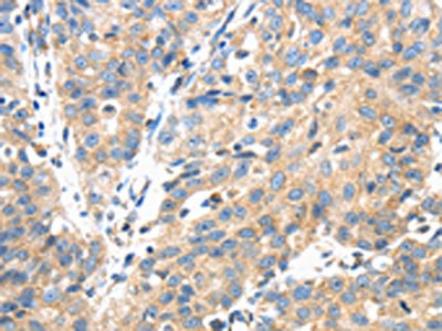
The image on the left is immunohistochemistry of paraffin-embedded Human breast cancer tissue using PACO20790 at dilution 1/35, on the right is treated with synthetic peptide. (Original magnification: ×200)
The image on the left is immunohistochemistry of paraffin-embedded Human thyroid cancer tissue using PACO20790 at dilution 1/35, on the right is treated with synthetic peptide. (Original magnification: ×200)