TTC12 Antibody is a premium polyclonal that offers outstanding performance and reliability for demanding research applications. Rigorously validated for ELISA, WB, IHC, this antibody ensures consistent, reproducible results across multiple experimental platforms. Demonstrates excellent reactivity with Human, Mouse samples, providing researchers with confidence in cross-species compatibility. Conveniently packaged in 50ug format to meet your experimental needs. For optimal performance, store at -20°C or -80°C and maintains stability for 12 months. Backed by rigorous quality control testing to ensure superior performance in your critical research applications.
Product Name:
TTC12 Antibody
SKU:
PACO40426
Size:
50μg
Isotype:
IgG
Host Species:
Rabbit
Reactivity:
Human, Mouse
Immunogen:
Recombinant Human Tetratricopeptide repeat protein 12 protein (1-260AA)
Immunogen Species:
Homo sapiens (Human)
Uniprot No:
Q9H892
Form:
Liquid
Tested Applications:
ELISAWBIHC
Recommended Dilution:
Application
Recommended Dilution
WB
1:500-1:5000
IHC
1:20-1:200
Synonyms:
TTC12 antibody, Tetratricopeptide repeat protein 12 antibody, TPR repeat protein 12 antibody
Western Blot All lanes: TTC12 antibody at 8µg/ml Lane 1: Mouse large intestine tissue Lane 2: Mouse small intestine tissue Lane 3: HepG2 whole cell lysate Secondary Goat polyclonal to rabbit IgG at 1/10000 dilution Predicted band size: 79, 82 kDa Observed band size: 79, 170 kDa
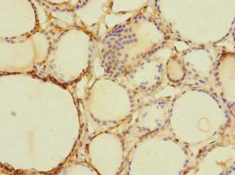
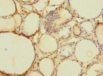
Immunohistochemistry of paraffin-embedded human thyroid tissue using PACO40426 at dilution of 1:100
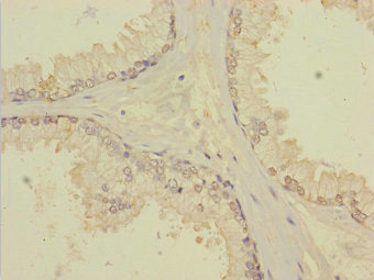
Immunohistochemistry of paraffin-embedded human prostate cancer using PACO40426 at dilution of 1:100