TTI2 Antibody is a premium polyclonal that offers outstanding performance and reliability for demanding research applications. Rigorously validated for ELISA, WB, IHC, IF, this antibody ensures consistent, reproducible results across multiple experimental platforms. Demonstrates excellent reactivity with Human, Rat samples, providing researchers with confidence in cross-species compatibility. Conveniently packaged in 50ug format to meet your experimental needs. For optimal performance, store at -20°C or -80°C and maintains stability for 12 months. Backed by rigorous quality control testing to ensure superior performance in your critical research applications.
Product Name:
TTI2 Antibody
SKU:
PACO60176
Size:
50μg
Isotype:
IgG
Host Species:
Rabbit
Reactivity:
Human, Rat
Immunogen:
Recombinant Human TELO2-interacting protein 2 protein (159-264AA)
Immunogen Species:
Homo sapiens (Human)
Uniprot No:
Q6NXR4
Form:
Liquid
Tested Applications:
ELISAWBIHCIF
Recommended Dilution:
Application
Recommended Dilution
WB
1:500-1:5000
IHC
1:20-1:200
IF
1:20-1:200
Synonyms:
C8orf41 antibody, CH041_HUMAN antibody, TELO2 interacting protein 2provided antibody, TTI2 antibody, Uncharacterized protein C8orf41 antibody
Western Blot Positive WB detected in: Hela whole cell lysate, HepG2 whole cell lysate, PC-3 whole cell lysate, Rat kidney tissue All lanes: TTI2 antibody at 8.7µg/ml Secondary Goat polyclonal to rabbit IgG at 1/50000 dilution Predicted band size: 57 kDa Observed band size: 57 kDa
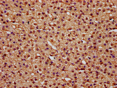
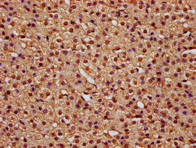
IHC image of PACO60176 diluted at 1:100 and staining in paraffin-embedded human colon cancer performed on a Leica BondTM system. After dewaxing and hydration, antigen retrieval was mediated by high pressure in a citrate buffer (pH 6.0). Section was blocked with 10% normal goat serum 30min at RT. Then primary antibody (1% BSA) was incubated at 4°C overnight. The primary is detected by a biotinylated secondary antibody and visualized using an HRP conjugated SP system.
IHC image of PACO60176 diluted at 1:100 and staining in paraffin-embedded human adrenal gland tissue performed on a Leica BondTM system. After dewaxing and hydration, antigen retrieval was mediated by high pressure in a citrate buffer (pH 6.0). Section was blocked with 10% normal goat serum 30min at RT. Then primary antibody (1% BSA) was incubated at 4°C overnight. The primary is detected by a biotinylated secondary antibody and visualized using an HRP conjugated SP system.
Immunofluorescence staining of A549 cells with PACO60176 at 1:33, counter-stained with DAPI. The cells were fixed in 4% formaldehyde, permeabilized using 0.2% Triton X-100 and blocked in 10% normal Goat Serum. The cells were then incubated with the antibody overnight at 4°C. The secondary antibody was Alexa Fluor 488-congugated AffiniPure Goat Anti-Rabbit IgG(H+L).