The TTLL8 Polyclonal Antibody (PACO47730) is a valuable tool for researchers studying TTLL8, a protein involved in microtubule modification and regulation. This antibody, produced in rabbits, has high reactivity with human samples and is validated for use in Western blot applications. By specifically binding to TTLL8, researchers can detect and analyze its expression in various cell types, making it ideal for studies in cell biology and neurology.TTLL8, a member of the tubulin tyrosine ligase-like protein family, plays a crucial role in microtubule dynamics and stability, essential for processes such as cell division and intracellular transport.
Dysregulation of TTLL8 has been implicated in diseases like cancer and neurodegenerative disorders, highlighting its potential as a therapeutic target. Investigating the function of TTLL8 can provide valuable insights into these disease mechanisms and guide the development of targeted treatments.
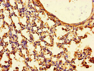
Immunohistochemistry of paraffin-embedded human lung tissue using PACO47730 at dilution of 1:100.
Immunofluorescent analysis of Ntera-2 cells using PACO47730 at dilution of 1:100 and Alexa Fluor 488-congugated AffiniPure Goat Anti-Rabbit IgG(H+L).
Background:
Monoglycylase which modifies both tubulin and non-tubulin proteins, generating side chains of glycine on the gamma-carboxyl groups of specific glutamate residues of target proteins. Monoglycylates tubulin, with a preference for alpha-tubulin toward beta-tubulin. Has the ability to modify non-tubulin proteins such as ANP32A, ANP32B, SET and NCL. Involved in the side-chain initiation step of the glycylation reaction by adding a single glycine chain to generate monoglycine side chains. Not involved in elongation step of the polyglycylation reaction (By similarity).
Synonyms:
Protein monoglycylase TTLL8 (EC 6.3.2) (Tubulin--tyrosine ligase-like protein 8), TTLL8