The Ube1L / UBA7 Monoclonal Antibody (CAB23575) is a high-quality antibody developed for reliable detection and analysis of target proteins. UBE1L/UBA7 is an E1 ubiquitin-activating enzyme specific for the ubiquitin-like protein ISG15, initiating the ISGylation cascade during interferon-stimulated antiviral responses. It also functions as a retinoid target that triggers PML/RARα degradation and apoptosis in acute promyelocytic leukemia.
This antibody is validated for use in WB, ELISA applications and has demonstrated reactivity against Human, Mouse, Rat samples.
Product Name:
Ube1L / UBA7 Monoclonal Antibody
SKU:
CAB23575
Size:
20μL, 100μL
Reactivity:
Human, Mouse, Rat
Clone Number:
ARC3085
Conjugate:
Unconjugated
Immunogen:
Recombinant protein (or fragment).This information is considered to be commercially sensitive.
Sequence:
Email for sequence
Tested Applications:
WBELISA
Recommended Dilution:
WB
1:500 - 1:1000
ELISA
Recommended starting concentration is 1 μg/mL. Please optimize the concentration based on your specific assay requirements.
Synonyms:
D8, UBE2, UBE7, UBA1B, UBE1L, Ube1L / UBA7
Positive Sample:
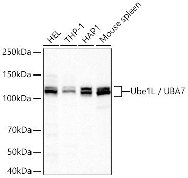
Rat lung, HEL, THP-1, HAP1, Mouse spleen
Calculated MW:
112kDa
Observed MW:
110-118kDa
The modification of proteins with ubiquitin is an important cellular mechanism for targeting abnormal or short-lived proteins for degradation. Ubiquitination involves at least three classes of enzymes: ubiquitin-activating enzymes, or E1s, ubiquitin-conjugating enzymes, or E2s, and ubiquitin-protein ligases, or E3s. This gene encodes a member of the E1 ubiquitin-activating enzyme family. The encoded enzyme is a retinoid target that triggers promyelocytic leukemia (PML)/retinoic acid receptor alpha (RARalpha) degradation and apoptosis in acute promyelocytic leukemia, where it is involved in the conjugation of the ubiquitin-like interferon-stimulated gene 15 protein.
Purification Method
Affinity purification
Gene ID
7318
Buffer Information
Store at -20℃. Avoid freeze / thaw cycles. Buffer: PBS containing 50% glycerol and 0.05% BSA, preserved with proclin300 or sodium azide, pH 7.3.
Western blot analysis of various lysates using Ube1L / UBA7 Rabbit mAb (CAB23575) at 1:500 dilution incubated overnight at 4℃. Secondary antibody: HRP-conjugated Goat anti-Rabbit IgG (H+L) (CABS014) at 1:10000 dilution. Lysates/proteins: 25 μg per lane. Blocking buffer: 3% nonfat dry milk in TBST. Detection: ECL Basic Kit (AbGn00020). Exposure time: 1s.
Western blot analysis of lysates from Rat lung using Ube1L / UBA7 Rabbit mAb (CAB23575) at 1:500 dilution incubated overnight at 4℃. Secondary antibody: HRP-conjugated Goat anti-Rabbit IgG (H+L) (CABS014) at 1:10000 dilution. Lysates/proteins: 25 μg per lane. Blocking buffer: 3% nonfat dry milk in TBST. Detection: ECL Basic Kit (AbGn00020). Exposure time: 60s.