The UBE2L6 Antibody (CAB4282) is a high-quality antibody developed for reliable detection and analysis of target proteins. The modification of proteins with ubiquitin is an important cellular mechanism for targeting abnormal or short-lived proteins for degradation. Ubiquitination involves at least three classes of enzymes: ubiquitin-activating enzymes (E1s), ubiquitin-conjugating enzymes (E2s) and ubiquitin-protein ligases (E3s). This gene encodes a member of the E2 ubiquitin-conjugating enzyme family. This enzyme is highly similar in primary structure to the enzyme encoded by the UBE2L3 gene. Two alternatively spliced transcript variants encoding distinct isoforms have been found for this gene.
This antibody is validated for use in WB, IHC-P, ELISA applications and has demonstrated reactivity against Human, Mouse samples.
Product Name:
UBE2L6 Antibody
SKU:
CAB4282
Size:
100μL, 20μL
Reactivity:
Human, Mouse
Conjugate:
Unconjugated
Immunogen:
Synthetic peptide. This information is considered to be commercially sensitive.
Tested Applications:
WBIHC-PELISA
Recommended Dilution:
WB
1:500 - 1:1000
IHC-P
1:50 - 1:200
ELISA
Recommended starting concentration is 1 μg/mL. Please optimize the concentration based on your specific assay requirements.
Synonyms:
RIG-B, UBCH8, UBE2L6
Positive Sample:
Mouse spleen
Cellular Localization:
Cytosol, Nucleoplasm, Nucleus.
Calculated MW:
18kDa
Observed MW:
18kDa
The modification of proteins with ubiquitin is an important cellular mechanism for targeting abnormal or short-lived proteins for degradation. Ubiquitination involves at least three classes of enzymes: ubiquitin-activating enzymes (E1s), ubiquitin-conjugating enzymes (E2s) and ubiquitin-protein ligases (E3s). This gene encodes a member of the E2 ubiquitin-conjugating enzyme family. This enzyme is highly similar in primary structure to the enzyme encoded by the UBE2L3 gene. Two alternatively spliced transcript variants encoding distinct isoforms have been found for this gene.
Purification Method
Affinity purification
Gene ID
9246
RRID
AB_2765602
Buffer Information
Store at -20℃. Avoid freeze / thaw cycles. Buffer: PBS with 0.01% thimerosal,50% glycerol,pH7.3.
Western blot analysis of lysates from Mouse spleen, using UBE2L6 Rabbit pAb (CAB4282) at 1:1000 dilution. Secondary antibody: HRP-conjugated Goat anti-Rabbit IgG (H+L) (AS014) at 1:10000 dilution. Lysates/proteins: 25μg per lane. Blocking buffer: 3% nonfat dry milk in TBST. Detection: ECL Basic Kit (AbGn00020). Exposure time: 5s.
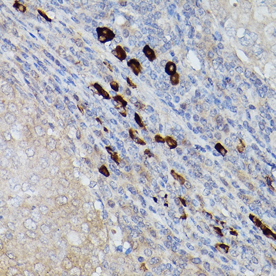
Immunohistochemistry analysis of paraffin-embedded Human breast cancer using UBE2L6 Rabbit pAb (CAB4282) at dilution of 1:200 (40x lens). Microwave antigen retrieval performed with 0.01M PBS Buffer (pH 7.2) prior to IHC staining.