The UBIAD1 Antibody (CAB14214) is a high-quality antibody developed for reliable detection and analysis of target proteins. This antibody, produced in rabbits, is highly specific for human samples and has been validated for use in Western blot applications. By binding to the UBIAD1 protein, this antibody allows for accurate detection and analysis in various cell types, making it an essential reagent for studies in molecular biology and biochemistry.UBIAD1, also known as TERE1, is a key player in the biosynthesis of vitamin K, a vital nutrient involved in blood clotting and bone health.
This antibody is validated for use in WB, IHC-P, IF/ICC, ELISA applications and has demonstrated reactivity against Human, Mouse samples.
Product Name:
UBIAD1 Antibody
SKU:
CAB14214
Size:
20μL, 100μL
Reactivity:
Human, Mouse
Conjugate:
Unconjugated
Immunogen:
Synthetic peptide. This information is considered to be commercially sensitive.
This gene encodes a protein thought to be involved in cholesterol and phospholipid metabolism. Mutations in this gene are associated with Schnyder crystalline corneal dystrophy.
Purification Method
Affinity purification
Gene ID
29914
RRID
AB_2761074
Buffer Information
Store at -20℃. Avoid freeze / thaw cycles. Buffer: PBS containing 50% glycerol, preserved with proclin300 or sodium azide, pH 7.3.
Western blot analysis of lysates from HepG2 cells, using UBIAD1 Rabbit pAb (CAB14214) at 1:1000 dilution. Secondary antibody: HRP-conjugated Goat anti-Rabbit IgG (H+L) (CABS014) at 1:10000 dilution. Lysates/proteins: 25μg per lane. Blocking buffer: 3% nonfat dry milk in TBST. Detection: ECL Basic Kit (AbGn00020). Exposure time: 30s.
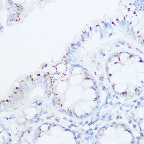
Immunohistochemistry analysis of paraffin-embedded Human colon using UBIAD1 Rabbit pAb (CAB14214) at dilution of 1:500 (40x lens). High pressure antigen retrieval performed with 0.01M Citrate buffer (pH 6.0) prior to IHC staining.