The UCHL5 Antibody (CAB7978) is a high-quality antibody developed for reliable detection and analysis of target proteins. This antibody, produced using rabbits as the host, is highly specific to human samples and has been validated for use in Western blot applications. By binding to the UCHL5 protein, this antibody allows for accurate detection and analysis in various cell types, making it an essential asset for investigations in molecular biology and disease research.UCHL5, also known as ubiquitin carboxyl-terminal hydrolase L5, plays a crucial role in maintaining protein homeostasis and cellular function by removing ubiquitin molecules from target proteins.
This antibody is validated for use in WB, IHC-P, IF/ICC, ELISA applications and has demonstrated reactivity against Human, Mouse, Rat samples.
Product Name:
UCHL5 Antibody
SKU:
CAB7978
Size:
20μL, 100μL
Reactivity:
Human, Mouse, Rat
Conjugate:
Unconjugated
Immunogen:
Recombinant protein (or fragment).This information is considered to be commercially sensitive.
Recommended starting concentration is 1 μg/mL. Please optimize the concentration based on your specific assay requirements.
Synonyms:
UCH37, CGI-70, INO80R, UCH-L5, UCHL5
Positive Sample:
Neuro-2a, PC-12
Cellular Localization:
Cytoplasm, Nucleus.
Calculated MW:
38kDa
Observed MW:
38kDa
Enables endopeptidase inhibitor activity; proteasome binding activity; and thiol-dependent deubiquitinase. Involved in negative regulation of proteasomal ubiquitin-dependent protein catabolic process; positive regulation of smoothened signaling pathway; and protein deubiquitination. Located in cytosol; nucleolus; and nucleoplasm. Colocalizes with Ino80 complex.
Purification Method
Affinity purification
Gene ID
51377
RRID
AB_2772795
Buffer Information
Store at -20℃. Avoid freeze / thaw cycles. Buffer: PBS containing 50% glycerol, preserved with proclin300 or sodium azide, pH 7.3.
Western blot analysis of various lysates, using UCHL5 Rabbit pAb (CAB7978) at 1:400 dilution. Secondary antibody: HRP-conjugated Goat anti-Rabbit IgG (H+L) (CABS014) at 1:10000 dilution. Lysates/proteins: 25μg per lane. Blocking buffer: 3% nonfat dry milk in TBST. Detection: ECL Basic Kit (AbGn00020). Exposure time: 15s.
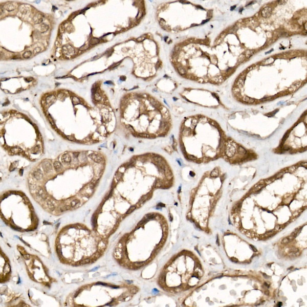
Immunohistochemistry analysis of paraffin-embedded Human kidney using UCHL5 Rabbit pAb (CAB7978) at dilution of 1:50 (40x lens). High pressure antigen retrieval performed with 0.01M Citrate buffer (pH 6.0) prior to IHC staining.
Immunohistochemistry analysis of paraffin-embedded Rat brain using UCHL5 Rabbit pAb (CAB7978) at dilution of 1:50 (40x lens). High pressure antigen retrieval performed with 0.01M Citrate buffer (pH 6.0) prior to IHC staining.
Immunofluorescence analysis of NIH/3T3 cells using UCHL5 Rabbit pAb (CAB7978) at dilution of 1:50 (40x lens). Secondary antibody: Cy3-conjugated Goat anti-Rabbit IgG (H+L) (CABS007) at 1:500 dilution. Blue: DAPI for nuclear staining.