The UCP3 Antibody (CAB16995) is a high-quality antibody developed for reliable detection and analysis of target proteins. This antibody, generated in rabbits, exhibits high specificity and sensitivity towards human samples, making it suitable for various research applications such as Western blotting and immunohistochemistry.UCP3 is particularly important in maintaining energy balance and body weight regulation, making it a potential target for studies related to obesity, diabetes, and metabolic disorders.
This antibody is validated for use in WB, IHC-P, ELISA applications and has demonstrated reactivity against Human, Mouse, Rat samples.
Product Name:
UCP3 Antibody
SKU:
CAB16995
Size:
20μL, 100μL
Reactivity:
Human, Mouse, Rat
Immunogen:
Recombinant protein (or fragment).This information is considered to be commercially sensitive.
Mitochondrial uncoupling proteins (UCP) are members of the larger family of mitochondrial anion carrier proteins (MACP). UCPs separate oxidative phosphorylation from ATP synthesis with energy dissipated as heat, also referred to as the mitochondrial proton leak. UCPs facilitate the transfer of anions from the inner to the outer mitochondrial membrane and the return transfer of protons from the outer to the inner mitochondrial membrane. They also reduce the mitochondrial membrane potential in mammalian cells. The different UCPs have tissue-specific expression; this gene is primarily expressed in skeletal muscle. This gene's protein product is postulated to protect mitochondria against lipid-induced oxidative stress. Expression levels of this gene increase when fatty acid supplies to mitochondria exceed their oxidation capacity and the protein enables the export of fatty acids from mitochondria. UCPs contain the three solcar protein domains typically found in MACPs. Two splice variants have been found for this gene.
Purification Method
Affinity purification
Gene ID
7352
RRID
AB_2772799
Buffer Information
Store at -20℃. Avoid freeze / thaw cycles. Buffer: PBS with 0.01% thimerosal,50% glycerol,pH7.3.
Western blot analysis of various lysates using UCP3 Rabbit pAb (CAB16995) at 1:1000 dilution. Secondary antibody: HRP-conjugated Goat anti-Rabbit IgG (H+L) (CABS014) at 1:10000 dilution. Lysates/proteins: 25μg per lane. Blocking buffer: 3% nonfat dry milk in TBST. Detection: ECL Basic Kit (AbGn00020). Exposure time: 3s.
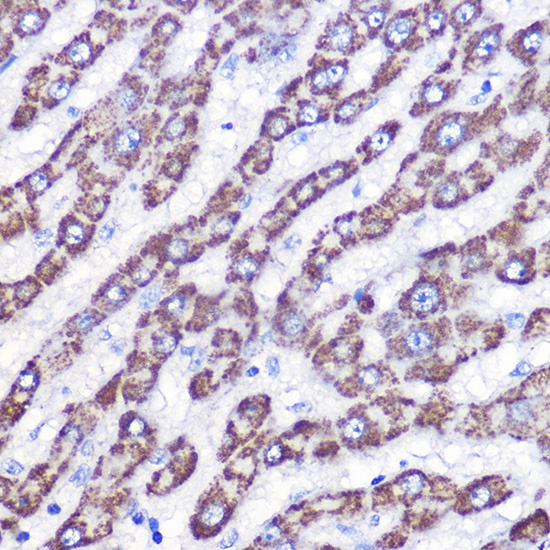
Immunohistochemistry analysis of paraffin-embedded Human liver using UCP3 Rabbit pAb (CAB16995) at dilution of 1:100 (40x lens). Microwave antigen retrieval performed with 0.01M Tris/EDTA Buffer (pH 9.0) prior to IHC staining.