UNC93A Antibody is a premium polyclonal that offers outstanding performance and reliability for demanding research applications. Rigorously validated for ELISA, WB, IHC, this antibody ensures consistent, reproducible results across multiple experimental platforms. Demonstrates excellent reactivity with Human samples, providing researchers with confidence in cross-species compatibility. Conveniently packaged in 50ug format to meet your experimental needs. For optimal performance, store at -20°C or -80°C and maintains stability for 12 months. Backed by rigorous quality control testing to ensure superior performance in your critical research applications.
Product Name:
UNC93A Antibody
SKU:
PACO37414
Size:
50μg
Isotype:
IgG
Host Species:
Rabbit
Reactivity:
Human
Immunogen:
Recombinant Human Protein unc-93 homolog A protein (374-415AA)
Immunogen Species:
Homo sapiens (Human)
Uniprot No:
Q86WB7
Form:
Liquid
Tested Applications:
ELISAWBIHC
Recommended Dilution:
Application
Recommended Dilution
WB
1:1000-1:5000
IHC
1:20-1:200
Synonyms:
UNC93AProtein unc-93 homolog A antibody, HmUnc-93A antibody, Unc-93A antibody
Western blot All lanes: UNC93A antibody at 14µg/ml + Hela whole cell lysate Secondary Goat polyclonal to rabbit IgG at 1/10000 dilution Predicted band size: 51, 46 kDa Observed band size: 51 kDa
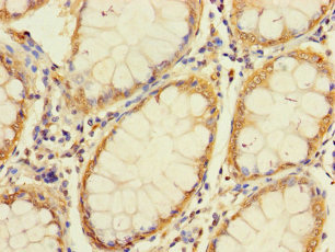
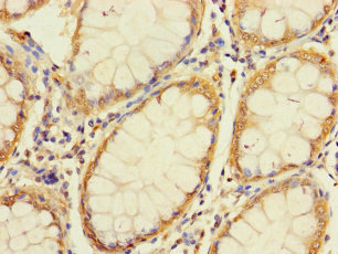
Immunohistochemistry of paraffin-embedded human colon cancer using PACO37414 at dilution of 1:100