The USP24 Polyclonal Antibody (CAB21416) is a high-quality antibody developed for reliable detection and analysis of target proteins. This antibody, produced in rabbits, has high specificity and sensitivity for detecting USP24 in human samples, making it ideal for Western blot applications. By targeting USP24, this antibody allows for the examination of protein turnover dynamics and the regulation of cellular processes.USP24, a member of the deubiquitinating enzyme family, plays a crucial role in maintaining protein homeostasis by removing ubiquitin groups from target proteins.
This antibody is validated for use in WB, ELISA applications and has demonstrated reactivity against Human, Mouse samples.
Product Name:
USP24 Polyclonal Antibody
SKU:
CAB21416
Size:
20μL, 100μL
Reactivity:
Human, Mouse
Conjugate:
Unconjugated
Immunogen:
Recombinant protein (or fragment).This information is considered to be commercially sensitive.
Recommended starting concentration is 1 μg/mL. Please optimize the concentration based on your specific assay requirements.
Synonyms:
USP24, ubiquitin specific peptidase 24
Cellular Localization:
Cytosol, Nucleoplasm, Nucleus.
Calculated MW:
294kDa
Observed MW:
Refertofigures
Modification of cellular proteins by ubiquitin is an essential regulatory mechanism controlled by the coordinated action of multiple ubiquitin-conjugating and deubiquitinating enzymes. USP24 belongs to a large family of cysteine proteases that function as deubiquitinating enzymes (Quesada et al., 2004 [PubMed 14715245]).
Purification Method
Affinity purification
Gene ID
23358
Buffer Information
Store at -20℃. Avoid freeze / thaw cycles. Buffer: PBS with 0.01% thimerosal,50% glycerol,pH7.3.
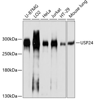
Western blot analysis of various lysates using USP24 Rabbit pAb (CAB21416) at 1:1000 dilution. Secondary antibody: HRP-conjugated Goat anti-Rabbit IgG (H+L) (CABS014) at 1:10000 dilution. Lysates/proteins: 25μg per lane. Blocking buffer: 3% nonfat dry milk in TBST. Detection: ECL Basic Kit (AbGn00020). Exposure time: 1s.