VAT1L Antibody is a premium polyclonal that offers outstanding performance and reliability for demanding research applications. Rigorously validated for ELISA, WB, IHC, this antibody ensures consistent, reproducible results across multiple experimental platforms. Demonstrates excellent reactivity with Human samples, providing researchers with confidence in cross-species compatibility. Conveniently packaged in 50ug format to meet your experimental needs. For optimal performance, store at -20°C or -80°C and maintains stability for 12 months. Backed by rigorous quality control testing to ensure superior performance in your critical research applications.
Product Name:
VAT1L Antibody
SKU:
PACO41362
Size:
50μg
Isotype:
IgG
Host Species:
Rabbit
Reactivity:
Human
Immunogen:
Recombinant Human Synaptic vesicle membrane protein VAT-1 homolog-like protein (1-419AA)
Immunogen Species:
Homo sapiens (Human)
Uniprot No:
Q9HCJ6
Form:
Liquid
Tested Applications:
ELISAWBIHC
Recommended Dilution:
Application
Recommended Dilution
WB
1:500-1:2000
IHC
1:20-1:200
Synonyms:
Probable oxidoreductase KIAA1576 antibody, Synaptic vesicle membrane protein VAT 1 homolog like antibody, Synaptic vesicle membrane protein VAT-1 homolog-like antibody, VAT 1L antibody, VAT1L antibody, VAT1L_HUMAN antibody, Vesicle amine transport protein 1 homolog (T. californica) like antibody
Western blot All lanes: VAT1L antibody at 0.3µg/ml + U87 whole cell lysate Secondary Goat polyclonal to rabbit IgG at 1/10000 dilution Predicted band size: 46 kDa Observed band size: 46 kDa
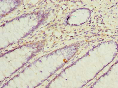
Immunohistochemistry of paraffin-embedded human colon cancer using PACO41362 at dilution of 1:100