WFIKKN1 Antibody is a premium polyclonal that offers outstanding performance and reliability for demanding research applications. Rigorously validated for ELISA, IHC, this antibody ensures consistent, reproducible results across multiple experimental platforms. Demonstrates excellent reactivity with Human samples, providing researchers with confidence in cross-species compatibility. Conveniently packaged in 50ul format to meet your experimental needs. For optimal performance, store at -20°C or -80°C and maintains stability for 12 months. Backed by rigorous quality control testing to ensure superior performance in your critical research applications.
Product Name:
WFIKKN1 Antibody
SKU:
PACO63183
Size:
50μl
Isotype:
IgG
Host Species:
Rabbit
Reactivity:
Human
Immunogen:
Peptide sequence from Human WAP, Kazal, immunoglobulin, Kunitz and NTR domain-containing protein 1 protein (187-207AA)
Immunogen Species:
Homo sapiens (Human)
Uniprot No:
Q96NZ8
Form:
Liquid
Tested Applications:
ELISAIHC
Recommended Dilution:
Application
Recommended Dilution
IHC
1:200-1:500
Synonyms:
WFIKKN1 antibody, C16orf12 antibody, GASP2 antibody, WFIKKN antibody, PSEC0040 antibody, WAP antibody, Kazal antibody, immunoglobulin antibody, Kunitz and NTR domain-containing protein 1 antibody, Growth and differentiation factor-associated serum protein 2 antibody, GASP-2 antibody, hGASP-2 antibody, WAP antibody, follistatin antibody, immunoglobulin antibody, Kunitz and NTR domain-containing protein antibody
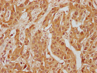
IHC image of PACO63183 diluted at 1:300 and staining in paraffin-embedded human liver cancer performed on a Leica BondTM system. After dewaxing and hydration, antigen retrieval was mediated by high pressure in a citrate buffer (pH 6.0). Section was blocked with 10% normal goat serum 30min at RT. Then primary antibody (1% BSA) was incubated at 4°C overnight. The primary is detected by a biotinylated secondary antibody and visualized using an HRP conjugated SP system.