The WWC2 Antibody (CAB18668) is a high-quality antibody developed for reliable detection and analysis of target proteins. This antibody, generated in rabbits, exhibits strong reactivity with WWC2 in human samples and has been validated for use in Western blot applications. By targeting the WWC2 protein, this antibody enables precise detection and analysis in various cell types, making it an ideal choice for investigations in cell biology and cancer research.
This antibody is validated for use in WB, IHC-P, ELISA applications and has demonstrated reactivity against Human, Mouse, Rat samples.
Product Name:
WWC2 Antibody
SKU:
CAB18668
Size:
20μL, 100μL
Reactivity:
Human, Mouse, Rat
Immunogen:
Recombinant protein (or fragment).This information is considered to be commercially sensitive.
Recommended starting concentration is 1 μg/mL. Please optimize the concentration based on your specific assay requirements.
Synonyms:
BOMB, WWC2
Positive Sample:
U20S, Mouse lung
Cellular Localization:
Cytoplasm, Cytosol.
Calculated MW:
134kDa
Observed MW:
134kDa
This gene encodes a member of the WW-and-C2-domain-containing family of proteins. Members of this family have two N-terminal WW domains that mediate binding to target proteins harboring L/PPxY motifs, an internal C2 domain for membrane association, and C-terminal alpha protein kinase C binding sites and class III PDZ domain-interaction motifs. Proteins of this family are able to form homo- and heterodimers and to modulate hippo pathway signaling.
Purification Method
Affinity purification
Gene ID
80014
RRID
AB_2862405
Buffer Information
Store at -20℃. Avoid freeze / thaw cycles. Buffer: PBS with 0.01% thimerosal,50% glycerol,pH7.3.
Western blot analysis of various lysates using WWC2 Rabbit pAb (CAB18668) at 1:1000 dilution. Secondary antibody: HRP-conjugated Goat anti-Rabbit IgG (H+L) (CABS014) at 1:10000 dilution. Lysates/proteins: 25μg per lane. Blocking buffer: 3% nonfat dry milk in TBST. Detection: ECL Basic Kit (AbGn00020). Exposure time: 5s.
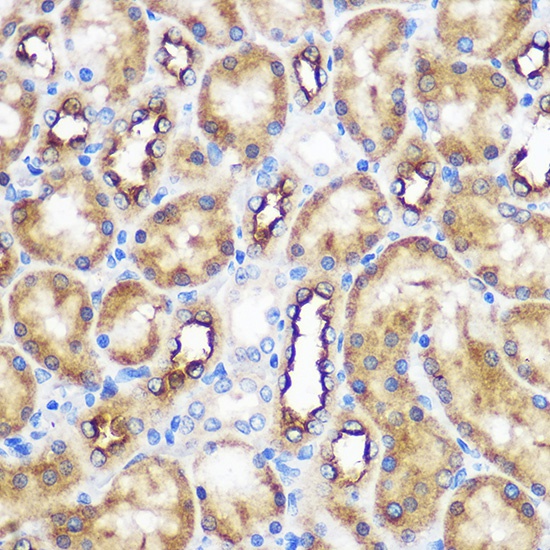
Immunohistochemistry analysis of paraffin-embedded Rat kidney using WWC2 Rabbit pAb (CAB18668) at dilution of 1:100 (40x lens). Microwave antigen retrieval performed with 0.01M PBS Buffer (pH 7.2) prior to IHC staining.