ZBTB2 Antibody is a premium polyclonal that offers outstanding performance and reliability for demanding research applications. Rigorously validated for ELISA, IHC, this antibody ensures consistent, reproducible results across multiple experimental platforms. Demonstrates excellent reactivity with Human samples, providing researchers with confidence in cross-species compatibility. Conveniently packaged in 50ul format to meet your experimental needs. For optimal performance, store at -20°C or -80°C and maintains stability for 12 months. Backed by rigorous quality control testing to ensure superior performance in your critical research applications.
Product Name:
ZBTB2 Antibody
SKU:
PACO20943
Size:
50μl
Isotype:
IgG
Host Species:
Rabbit
Reactivity:
Human
Immunogen:
Synthetic peptide of Human ZBTB2
Immunogen Species:
Homo sapiens (Human)
Uniprot No:
Q8N680
Form:
Liquid
Tested Applications:
ELISAIHC
Recommended Dilution:
Application
Recommended Dilution
ELISA
1:2000-1:10000
IHC
1:30-1:150
Synonyms:
bA351K16.2 antibody, Gm1103 antibody, KIAA1483 antibody, ZBTB2 antibody, ZBTB2_HUMAN antibody, Zinc finger and BTB domain containing 2 antibody, Zinc finger and BTB domain-containing protein 2 antibody, ZNF437 antibody
Target Names:
ZBTB2
Storage Buffer:
-20°C, pH7.4 PBS, 0.05% NaN3, 40% Glycerol
Purification:
Antigen affinity purification
Conjugate:
Non-conjugated
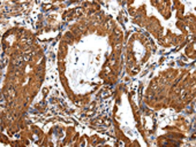
The image on the left is immunohistochemistry of paraffin-embedded Human breast cancer tissue using PACO20943 at dilution 1/40, on the right is treated with synthetic peptide. (Original magnification: ×200)
The image on the left is immunohistochemistry of paraffin-embedded Human esophagus cancer tissue using PACO20943 at dilution 1/40, on the right is treated with synthetic peptide. (Original magnification: ×200)