ZBTB8OS Antibody is a premium polyclonal that offers outstanding performance and reliability for demanding research applications. Rigorously validated for ELISA, WB, IHC, IF, this antibody ensures consistent, reproducible results across multiple experimental platforms. Demonstrates excellent reactivity with Human samples, providing researchers with confidence in cross-species compatibility. Conveniently packaged in 50ug format to meet your experimental needs. For optimal performance, store at -20°C or -80°C and maintains stability for 12 months. Backed by rigorous quality control testing to ensure superior performance in your critical research applications.
Product Name:
ZBTB8OS Antibody
SKU:
PACO37838
Size:
50μg
Isotype:
IgG
Host Species:
Rabbit
Reactivity:
Human
Immunogen:
Recombinant Human Protein archease protein (2-136AA)
Immunogen Species:
Homo sapiens (Human)
Uniprot No:
Q8IWT0
Form:
Liquid
Tested Applications:
ELISAWBIHCIF
Recommended Dilution:
Application
Recommended Dilution
WB
1:500-1:2000
IHC
1:20-1:200
IF
1:50-1:200
Synonyms:
ARCH antibody, ARCH_HUMAN antibody, ARCH2 antibody, Archease (ARCH) antibody, Archease like protein antibody, MGC62007 antibody, OTTHUMP00000036124 antibody, Protein archease antibody, Protein ZBTB8OS antibody, ZBTB8OS antibody, Zinc finger and BTB domain containing 8 opposite strand antibody, Zinc finger and BTB domain containing opposite strand protein 8 antibody, Zinc finger and BTB domain-containing opposite strand protein 8 antibody
Western blot All lanes: ZBTB8OS antibody at 8µg/ml + HL60 whole cell lysate Secondary Goat polyclonal to rabbit IgG at 1/10000 dilution Predicted band size: 20, 16 kDa Observed band size: 20 kDa
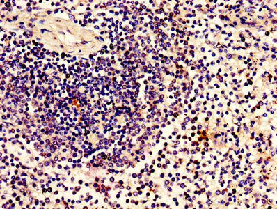
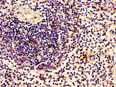
Immunohistochemistry of paraffin-embedded human spleen tissue using PACO37838 at dilution of 1:100
Immunofluorescent analysis of HepG2 cells using PACO37838 at dilution of 1:100 and Alexa Fluor 488-congugated AffiniPure Goat Anti-Rabbit IgG(H+L)