ZMAT5 Antibody is a premium polyclonal that offers outstanding performance and reliability for demanding research applications. Rigorously validated for ELISA, WB, IHC, this antibody ensures consistent, reproducible results across multiple experimental platforms. Demonstrates excellent reactivity with Human samples, providing researchers with confidence in cross-species compatibility. Conveniently packaged in 50ug format to meet your experimental needs. For optimal performance, store at -20°C or -80°C and maintains stability for 12 months. Backed by rigorous quality control testing to ensure superior performance in your critical research applications.
Product Name:
ZMAT5 Antibody
SKU:
PACO40698
Size:
50μg
Isotype:
IgG
Host Species:
Rabbit
Reactivity:
Human
Immunogen:
Recombinant Human Zinc finger matrin-type protein 5 protein (1-170AA)
Immunogen Species:
Homo sapiens (Human)
Uniprot No:
Q9UDW3
Form:
Liquid
Tested Applications:
ELISAWBIHC
Recommended Dilution:
Application
Recommended Dilution
WB
1:500-1:2000
IHC
1:20-1:200
Synonyms:
U11/U12 small nuclear ribonucleoprotein 20 kDa protein antibody, U11/U12 snRNP 20 kDa protein antibody, U11/U12 snRNP 20K antibody, U11/U12-20K antibody, zinc finger matrin type 5 antibody, Zinc finger matrin-type protein 5 antibody, Zmat5 antibody, ZMAT5_HUMAN antibody
Western blot All lanes: ZMAT5 antibody at 5µg/ml + Colo320 whole cell lysate Secondary Goat polyclonal to rabbit IgG at 1/10000 dilution Predicted band size: 20 kDa Observed band size: 20 kDa
Immunohistochemistry of paraffin-embedded human tonsil tissue using PACO40698 at dilution of 1:100
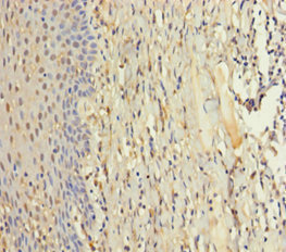
Immunohistochemistry of paraffin-embedded human endometrial cancer using PACO40698 at dilution of 1:100