ZNF473 Antibody is a premium polyclonal that offers outstanding performance and reliability for demanding research applications. Rigorously validated for ELISA, IHC, this antibody ensures consistent, reproducible results across multiple experimental platforms. Demonstrates excellent reactivity with Human samples, providing researchers with confidence in cross-species compatibility. Conveniently packaged in 50ul format to meet your experimental needs. For optimal performance, store at -20°C or -80°C and maintains stability for 12 months. Backed by rigorous quality control testing to ensure superior performance in your critical research applications.
Product Name:
ZNF473 Antibody
SKU:
PACO20951
Size:
50μl
Isotype:
IgG
Host Species:
Rabbit
Reactivity:
Human
Immunogen:
Synthetic peptide of Human ZNF473
Immunogen Species:
Homo sapiens (Human)
Uniprot No:
Q8WTR7
Form:
Liquid
Tested Applications:
ELISAIHC
Recommended Dilution:
Application
Recommended Dilution
ELISA
1:2000-1:5000
IHC
1:25-1:100
Synonyms:
HZFP100 antibody, Zfp 100 antibody, Zfp-100 antibody, Zinc finger protein 100 homolog antibody, Zinc finger protein 473 antibody, zinc finger protein ZFP100 antibody, ZN473_HUMAN antibody, Znf473 antibody
Target Names:
ZNF473
Storage Buffer:
-20°C, pH7.4 PBS, 0.05% NaN3, 40% Glycerol
Purification:
Antigen affinity purification
Conjugate:
Non-conjugated
The image on the left is immunohistochemistry of paraffin-embedded Human tonsil tissue using PACO20951 at dilution 1/30, on the right is treated with synthetic peptide. (Original magnification: ×200)
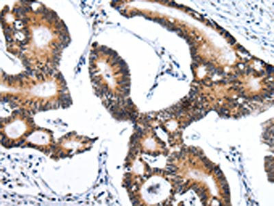
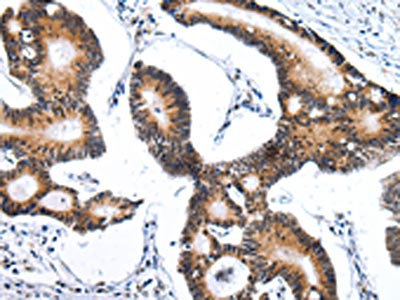
The image on the left is immunohistochemistry of paraffin-embedded Human colorectal cancer tissue using PACO20951 at dilution 1/30, on the right is treated with synthetic peptide. (Original magnification: ×200)