The 14-3-3 gamma Monoclonal Antibody (CAB9162) is a high-quality antibody developed for reliable detection and analysis of target proteins. This antibody, produced in rabbits, has high specificity and sensitivity for detecting 14-3-3 gamma in human samples, making it suitable for use in Western blot applications.The 14-3-3 gamma protein is important for regulating diverse cellular functions, making it a key target for research in areas such as cancer, neurodegenerative diseases, and cardiovascular disorders.
This antibody is validated for use in WB, IHC-P, ELISA applications and has demonstrated reactivity against Human, Mouse, Rat samples.
Product Name:
14-3-3 gamma Monoclonal Antibody
SKU:
CAB9162
Size:
20μL, 100μL
Reactivity:
Human, Mouse, Rat
Clone Number:
ARC1457
Conjugate:
Unconjugated
Immunogen:
Synthetic peptide. This information is considered to be commercially sensitive.
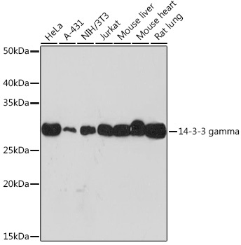
HeLa, NIH/3T3, Jurkat, Mouse liver, Mouse heart, Rat lung
Cellular Localization:
Cytoplasm.
Calculated MW:
28kDa
Observed MW:
28kDa
This gene product belongs to the 14-3-3 family of proteins which mediate signal transduction by binding to phosphoserine-containing proteins. This highly conserved protein family is found in both plants and mammals, and this protein is 100% identical to the rat ortholog. It is induced by growth factors in human vascular smooth muscle cells, and is also highly expressed in skeletal and heart muscles, suggesting an important role for this protein in muscle tissue. It has been shown to interact with RAF1 and protein kinase C, proteins involved in various signal transduction pathways.
Purification Method
Affinity purification
Gene ID
7532
RRID
AB_2863675
Buffer Information
Store at -20℃. Avoid freeze / thaw cycles. Buffer: PBS containing 50% glycerol and 0.05% BSA, preserved with proclin300 or sodium azide, pH 7.3.
Western blot analysis of various lysates, using 14-3-3 gamma Rabbit mAb (CAB9162) at 1:1000 dilution. Secondary antibody: HRP-conjugated Goat anti-Rabbit IgG (H+L) (CABS014) at 1:10000 dilution. Lysates/proteins: 25μg per lane. Blocking buffer: 3% nonfat dry milk in TBST. Detection: ECL Basic Kit (AbGn00020). Exposure time: 30s.
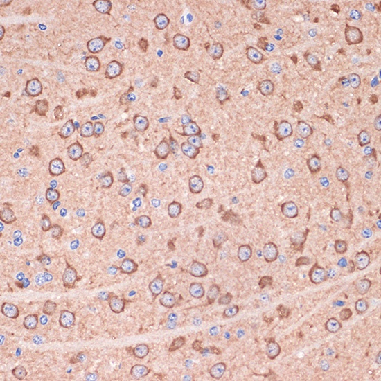
Immunohistochemistry analysis of paraffin-embedded Mouse brain using 14-3-3 gamma Rabbit mAb (CAB9162) at dilution of 1:100 (40x lens). Microwave antigen retrieval performed with 0.01M Tris/EDTA Buffer (pH 9.0) prior to IHC staining.