The AADAT Antibody (CAB13090) is a high-quality antibody developed for reliable detection and analysis of target proteins. This antibody, generated in rabbits, shows high reactivity with human samples and is suitable for use in Western blot applications. By binding specifically to the AADAT protein, this antibody allows for the detection and analysis of AADAT in a variety of cell types, making it an ideal choice for studies in metabolic regulation and cancer research.AADAT is essential for the breakdown of certain amino acids, playing a crucial role in maintaining amino acid balance within the body.
This antibody is validated for use in WB, IHC-P, IF/ICC, ELISA applications and has demonstrated reactivity against Human, Mouse, Rat samples.
Product Name:
AADAT Antibody
SKU:
CAB13090
Size:
20μL, 100μL
Reactivity:
Human, Mouse, Rat
Conjugate:
Unconjugated
Immunogen:
Recombinant protein (or fragment).This information is considered to be commercially sensitive.
Recommended starting concentration is 1 μg/mL. Please optimize the concentration based on your specific assay requirements.
Synonyms:
KAT2, KATII, KYAT2, AADAT
Positive Sample:
Mouse liver, Rat kidney
Cellular Localization:
Mitochondrion.
Calculated MW:
47kDa
Observed MW:
46kDa
This gene encodes a protein that is highly similar to mouse and rat kynurenine aminotransferase II. The rat protein is a homodimer with two transaminase activities. One activity is the transamination of alpha-aminoadipic acid, a final step in the saccaropine pathway which is the major pathway for L-lysine catabolism. The other activity involves the transamination of kynurenine to produce kynurenine acid, the precursor of kynurenic acid which has neuroprotective properties. Several transcript variants encoding two different isoforms have been found for this gene.
Purification Method
Affinity purification
Gene ID
51166
RRID
AB_2759939
Buffer Information
Store at -20℃. Avoid freeze / thaw cycles. Buffer: PBS with 0.01% thimerosal,50% glycerol,pH7.3.
Western blot analysis of various lysates, using AADAT Rabbit pAb (CAB13090) at 1:4000 dilution. Secondary antibody: HRP-conjugated Goat anti-Rabbit IgG (H+L) (CABS014) at 1:10000 dilution. Lysates/proteins: 25μg per lane. Blocking buffer: 3% nonfat dry milk in TBST. Detection: ECL Basic Kit (AbGn00020). Exposure time: 30s.
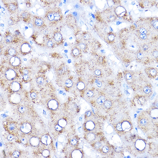
Immunohistochemistry analysis of paraffin-embedded Human liver using AADAT Rabbit pAb (CAB13090) at dilution of 1:200 (40x lens). High pressure antigen retrieval performed with 0.01M Citrate buffer (pH 6.0) prior to IHC staining.