The ABCB8 Antibody (CAB2653) is a high-quality antibody developed for reliable detection and analysis of target proteins. This antibody, generated in rabbits, exhibits high specificity and sensitivity towards human samples, making it a reliable choice for Western blot applications. By binding to ABCB8, this antibody enables the detection and analysis of the protein in various cell types, facilitating research in the fields of metabolism, cell biology, and mitochondrial dysfunction.ABCB8, a member of the ATP-binding cassette (ABC) transporter family, plays a crucial role in transporting molecules across mitochondrial membranes, impacting cellular energy production and metabolism.
This antibody is validated for use in WB, IHC-P, IF/ICC, ELISA applications and has demonstrated reactivity against Human, Mouse, Rat samples.
Product Name:
ABCB8 Antibody
SKU:
CAB2653
Size:
20μL, 100μL
Reactivity:
Human, Mouse, Rat
Conjugate:
Unconjugated
Immunogen:
Recombinant protein (or fragment).This information is considered to be commercially sensitive.
This nuclear gene encodes a multi-pass membrane protein that is targeted to the mitochondrial inner membrane. The encoded protein is an ATP-dependent transporter that may mediate the passage of organic and inorganic molecules out of the mitochondria. Loss of function of the related gene in mouse results in a disruption of iron homeostasis between the mitochondria and cytosol. Alternative splicing results in multiple transcript variants.
Purification Method
Affinity purification
Gene ID
11194
RRID
AB_2764521
Buffer Information
Store at -20℃. Avoid freeze / thaw cycles. Buffer: PBS containing 50% glycerol, preserved with proclin300 or sodium azide, pH 7.3.
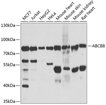
Western blot analysis of various lysates using ABCB8 Rabbit pAb (CAB2653) at 1:1000 dilution. Secondary antibody: HRP-conjugated Goat anti-Rabbit IgG (H+L) (CABS014) at 1:10000 dilution. Lysates/proteins: 25μg per lane. Blocking buffer: 3% nonfat dry milk in TBST. Detection: ECL Basic Kit (AbGn00020). Exposure time: 5s.
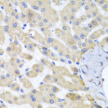
Immunohistochemistry analysis of paraffin-embedded Human liver damage using ABCB8 Rabbit pAb (CAB2653) at dilution of 1:100 (40x lens). Microwave antigen retrieval performed with 0.01M PBS Buffer (pH 7.2) prior to IHC staining.
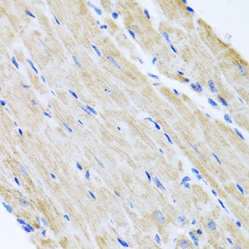
Immunohistochemistry analysis of paraffin-embedded Mouse heart using ABCB8 Rabbit pAb (CAB2653) at dilution of 1:100 (40x lens). Microwave antigen retrieval performed with 0.01M PBS Buffer (pH 7.2) prior to IHC staining.
Immunofluorescence analysis of HeLa cells using ABCB8 Rabbit pAb (CAB2653) at dilution of 1:100 (40x lens). Secondary antibody: Cy3-conjugated Goat anti-Rabbit IgG (H+L) (CABS007) at 1:500 dilution. Blue: DAPI for nuclear staining.