The Desmoplakin Antibody (CAB7635) is a high-quality antibody developed for reliable detection and analysis of target proteins. This antibody, raised in rabbits, is specifically reactive with desmoplakin in human samples and is validated for use in various applications, including Western blotting.Desmoplakin plays a crucial role in maintaining the structural integrity of tissues by anchoring intermediate filaments to desmosomes, structures that provide strength and flexibility to cells. Dysregulation of desmoplakin function has been implicated in diseases like cardiomyopathies and skin disorders, highlighting the importance of understanding its role in tissue integrity.
This antibody is validated for use in WB, IHC-P, ELISA applications and has demonstrated reactivity against Human, Mouse, Rat samples.
Product Name:
Desmoplakin Antibody
SKU:
CAB7635
Size:
20μL, 100μL
Reactivity:
Human, Mouse, Rat
Conjugate:
Unconjugated
Immunogen:
Synthetic peptide. This information is considered to be commercially sensitive.
This gene encodes a protein that anchors intermediate filaments to desmosomal plaques and forms an obligate component of functional desmosomes. Mutations in this gene are the cause of several cardiomyopathies and keratodermas, including skin fragility-woolly hair syndrome. Alternative splicing results in multiple transcript variants.
Purification Method
Affinity purification
Gene ID
1832
RRID
AB_2768148
Buffer Information
Store at -20℃. Avoid freeze / thaw cycles. Buffer: PBS with 0.09% sodium azide,50% glycerol,pH7.3.
Western blot analysis of various lysates using Desmoplakin Rabbit pAb (CAB7635) at 1:1000 dilution. Secondary antibody: HRP-conjugated Goat anti-Rabbit IgG (H+L) (CABS014) at 1:10000 dilution. Lysates/proteins: 25μg per lane. Blocking buffer: 3% nonfat dry milk in TBST. Detection: ECL Basic Kit (AbGn00020). Exposure time: 90s.
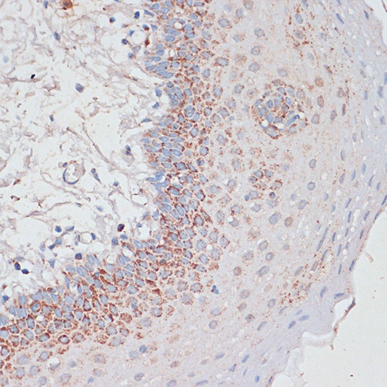
Immunohistochemistry analysis of paraffin-embedded Human tonsil using Desmoplakin Rabbit pAb (CAB7635) at dilution of 1:100 (40x lens). Microwave antigen retrieval performed with 0.01M PBS Buffer (pH 7.2) prior to IHC staining.
Immunohistochemistry analysis of paraffin-embedded Human breast cancer using Desmoplakin Rabbit pAb (CAB7635) at dilution of 1:100 (40x lens). Microwave antigen retrieval performed with 0.01M PBS Buffer (pH 7.2) prior to IHC staining.