The Prostatic Acid Phosphatase (ACPP) Antibody (CAB1937) is a high-quality antibody developed for reliable detection and analysis of target proteins. This antibody, produced in rabbits, has been validated for use in various applications, including Western blot and immunohistochemistry. It specifically targets the ACPP protein, allowing for accurate detection and analysis in a variety of biological samples.ACPP, an enzyme expressed in the prostate gland, has been identified as a biomarker for prostate cancer and other prostate-related diseases.
This antibody is validated for use in WB, IHC-P, ELISA applications and has demonstrated reactivity against Human, Mouse, Rat samples.
Product Name:
Prostatic Acid Phosphatase (ACPP) Antibody
SKU:
CAB1937
Size:
20μL, 100μL
Reactivity:
Human, Mouse, Rat
Conjugate:
Unconjugated
Immunogen:
Recombinant protein (or fragment).This information is considered to be commercially sensitive.
Cell Membrane, Lysosome Membrane, Secreted, Single-Pass Type I Membrane Protein.
Calculated MW:
45kDa
Observed MW:
50kDa
This gene encodes an enzyme that catalyzes the conversion of orthophosphoric monoester to alcohol and orthophosphate. It is synthesized under androgen regulation and is secreted by the epithelial cells of the prostate gland. An alternatively spliced transcript variant encoding a longer isoform has been found for this gene. This isoform contains a transmembrane domain and is localized in the plasma membrane-endosomal-lysosomal pathway.
Purification Method
Affinity purification
Gene ID
55
RRID
AB_2763963
Buffer Information
Store at -20℃. Avoid freeze / thaw cycles. Buffer: PBS containing 50% glycerol, preserved with proclin300 or sodium azide, pH 7.3.
Western blot analysis of various lysates using Prostatic Acid Phosphatase (ACPP) Rabbit pAb (CAB1937) at 1:500 dilution. Secondary antibody: HRP-conjugated Goat anti-Rabbit IgG (H+L) (CABS014) at 1:10000 dilution. Lysates/proteins: 25μg per lane. Blocking buffer: 3% nonfat dry milk in TBST. Detection: ECL Enhanced Kit (AbGn00021). Exposure time: 180s.
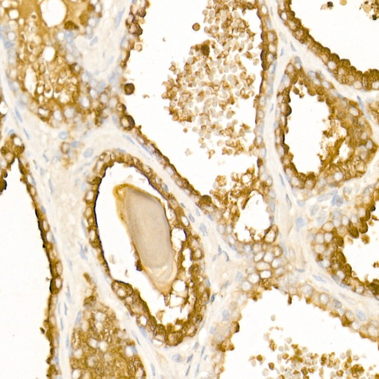
Immunohistochemistry analysis of paraffin-embedded Human benign prostatic hyperplasia using Prostatic Acid Phosphatase (ACPP) Rabbit pAb (CAB1937) at dilution of 1:50 (40x lens). High pressure antigen retrieval performed with 0.01M Citrate buffer (pH 6.0) prior to IHC staining.
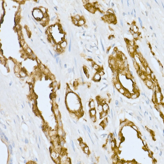
Immunohistochemistry analysis of paraffin-embedded Human prostate cancer using Prostatic Acid Phosphatase (ACPP) Rabbit pAb (CAB1937) at dilution of 1:50 (40x lens). High pressure antigen retrieval performed with 0.01M Citrate buffer (pH 6.0) prior to IHC staining.