The alpha-Smooth Muscle Actin (ACTA2) Antibody (CAB7248) is a high-quality antibody developed for reliable detection and analysis of target proteins. This antibody is produced in rabbits and exhibits high reactivity with human samples, making it a reliable tool for Western blot applications. By specifically targeting the ACTA2 protein, this antibody allows for the detection and analysis of ACTA2 in various cell types, making it well-suited for research in the fields of cell biology and cardiovascular disease.ACTA2, also known as alpha-smooth muscle actin, plays a crucial role in cell movement and contraction, making it a significant player in many physiological processes such as wound healing and vascular function.
This antibody is validated for use in WB, IHC-P, ELISA, IF-P applications and has demonstrated reactivity against Human, Mouse, Rat samples.
Product Name:
alpha-Smooth Muscle Actin (ACTA2) Antibody
SKU:
CAB7248
Size:
20μL, 100μL
Reactivity:
Human, Mouse, Rat
Conjugate:
Unconjugated
Immunogen:
Synthetic peptide. This information is considered to be commercially sensitive.
Recommended starting concentration is 1 μg/mL. Please optimize the concentration based on your specific assay requirements.
Synonyms:
ACTSA, α-Smooth Muscle Actin (ACTA2)
Positive Sample:
Mouse heart
Cellular Localization:
Cytoplasm, Cytoskeleton.
Calculated MW:
42kDa
Observed MW:
42kDa
This gene encodes one of six different actin proteins. Actins are highly conserved proteins that are involved in cell motility, structure, integrity, and intercellular signaling. The encoded protein is a smooth muscle actin that is involved in vascular contractility and blood pressure homeostasis. Mutations in this gene cause a variety of vascular diseases, such as thoracic aortic disease, coronary artery disease, stroke, and Moyamoya disease, as well as multisystemic smooth muscle dysfunction syndrome.
Purification Method
Affinity purification
Gene ID
59
RRID
AB_2721021
Buffer Information
Store at -20℃. Avoid freeze / thaw cycles. Buffer: PBS containing 50% glycerol, preserved with proclin300 or sodium azide, pH 7.3.
Western blot analysis of lysates from Mouse heart, using α-Smooth Muscle Actin (ACTA2) Rabbit pAb (CAB7248) at 1:1000 dilution. Secondary antibody: HRP-conjugated Goat anti-Rabbit IgG (H+L) (CABS014) at 1:10000 dilution. Lysates/proteins: 25μg per lane. Blocking buffer: 3% nonfat dry milk in TBST. Detection: ECL Basic Kit (AbGn00020). Exposure time: 10s.
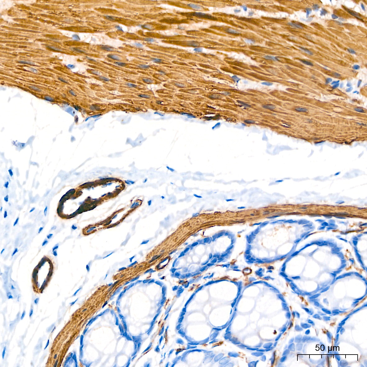
Immunohistochemistry analysis of paraffin-embedded human colon tissue using α-Smooth Muscle Actin (ACTA2) Rabbit pAb (CAB7248) at a dilution of 1:100 (40x lens). High pressure antigen retrieval performed with 0.01M Citrate Buffer(pH 6.0) prior to IHC staining.
Immunohistochemistry analysis of paraffin-embedded human esophagus tissue using α-Smooth Muscle Actin (ACTA2) Rabbit pAb (CAB7248) at a dilution of 1:100 (40x lens). High pressure antigen retrieval performed with 0.01M Citrate Buffer(pH 6.0) prior to IHC staining.
Immunohistochemistry analysis of paraffin-embedded human liver cancer tissue using α-Smooth Muscle Actin (ACTA2) Rabbit pAb (CAB7248) at a dilution of 1:100 (40x lens). High pressure antigen retrieval performed with 0.01M Citrate Buffer(pH 6.0) prior to IHC staining.
Immunohistochemistry analysis of paraffin-embedded rat colon tissue using α-Smooth Muscle Actin (ACTA2) Rabbit pAb (CAB7248) at a dilution of 1:100 (40x lens). High pressure antigen retrieval performed with 0.01M Citrate Buffer(pH 6.0) prior to IHC staining.
Immunofluorescence analysis of paraffin-embedded Human colon CA using α-Smooth Muscle Actin (ACTA2) Rabbit pAb (CAB7248) at dilution of 1:200 (40x lens). Secondary antibody: Cy3-conjugated Goat anti-Rabbit IgG (H+L) (CABS007) at 1:500 dilution. Blue: DAPI for nuclear staining.