The ACTR1B Antibody (CAB15773) is a high-quality antibody developed for reliable detection and analysis of target proteins. This antibody is raised in rabbits and is highly reactive with human samples, making it suitable for use in Western blot applications. By binding to the ACTR1B protein, this antibody enables researchers to detect and analyze its expression in various cell types, making it ideal for studies in cell biology and cancer research.ACTR1B is a key player in the regulation of cell division and the maintenance of cell structure, making it a crucial target for research into processes like cell proliferation and migration.
This antibody is validated for use in WB, IHC-P, ELISA applications and has demonstrated reactivity against Human, Mouse, Rat samples.
Product Name:
ACTR1B Antibody
SKU:
CAB15773
Size:
20μL, 100μL
Reactivity:
Human, Mouse, Rat
Conjugate:
Unconjugated
Immunogen:
Recombinant protein (or fragment).This information is considered to be commercially sensitive.
This gene encodes a 42.3 kD subunit of dynactin, a macromolecular complex consisting of 10 subunits ranging in size from 22 to 150 kD. Dynactin binds to both microtubules and cytoplasmic dynein and is involved in a diverse array of cellular functions, including ER-to-Golgi transport, the centripetal movement of lysosomes and endosomes, spindle formation, chromosome movement, nuclear positioning, and axonogenesis. This subunit, like ACTR1A, is an actin-related protein. These two proteins, which are of equal length and share 90% amino acid identity, are present in a constant ratio of approximately 1:15 in the dynactin complex.
Purification Method
Affinity purification
Gene ID
10120
RRID
AB_2763192
Buffer Information
Store at -20℃. Avoid freeze / thaw cycles. Buffer: PBS with 0.01% thimerosal,50% glycerol,pH7.3.
Western blot analysis of various lysates using ACTR1B Rabbit pAb (CAB15773) at 1:1000 dilution. Secondary antibody: HRP-conjugated Goat anti-Rabbit IgG (H+L) (CABS014) at 1:10000 dilution. Lysates/proteins: 25μg per lane. Blocking buffer: 3% nonfat dry milk in TBST. Detection: ECL Basic Kit (AbGn00020). Exposure time: 1s.
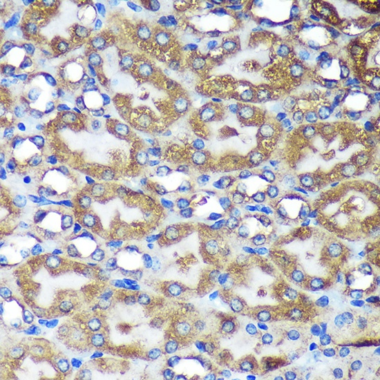
Immunohistochemistry analysis of paraffin-embedded Mouse kidney using ACTR1B Rabbit pAb (CAB15773) at dilution of 1:100 (40x lens). Microwave antigen retrieval performed with 0.01M PBS Buffer (pH 7.2) prior to IHC staining.
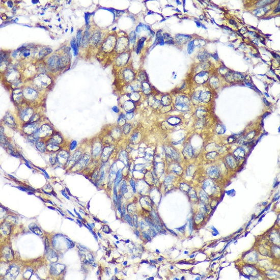
Immunohistochemistry analysis of paraffin-embedded Human colon carcinoma using ACTR1B Rabbit pAb (CAB15773) at dilution of 1:100 (40x lens). Microwave antigen retrieval performed with 0.01M PBS Buffer (pH 7.2) prior to IHC staining.