The ADAM15 Monoclonal Antibody (CAB6813) is a high-quality antibody developed for reliable detection and analysis of target proteins. This antibody, produced through immunization of rabbits, exhibits high specificity and sensitivity towards ADAM15 in human samples, making it a reliable tool for experiments in Western blotting and immunohistochemistry.ADAM15, a member of the ADAM (A Disintegrin And Metalloproteinase) family, is known to play a role in cell adhesion, migration, and signaling, making it a promising target for research in cancer metastasis, inflammation, and tissue remodeling.
This antibody is validated for use in WB, IHC-P, ELISA, IF-P applications and has demonstrated reactivity against Human, Mouse, Rat samples.
Product Name:
ADAM15 Monoclonal Antibody
SKU:
CAB6813
Size:
20μL, 100μL
Reactivity:
Human, Mouse, Rat
Clone Number:
ARC1419
Conjugate:
Unconjugated
Immunogen:
Synthetic peptide. This information is considered to be commercially sensitive.
The protein encoded by this gene is a member of the ADAM (a disintegrin and metalloproteinase) protein family. ADAM family members are type I transmembrane glycoproteins known to be involved in cell adhesion and proteolytic ectodomain processing of cytokines and adhesion molecules. This protein contains multiple functional domains including a zinc-binding metalloprotease domain, a disintegrin-like domain, as well as a EGF-like domain. Through its disintegrin-like domain, this protein specifically interacts with the integrin beta chain, beta 3. It also interacts with Src family protein-tyrosine kinases in a phosphorylation-dependent manner, suggesting that this protein may function in cell-cell adhesion as well as in cellular signaling. Multiple alternatively spliced transcript variants encoding distinct isoforms have been observed.
Purification Method
Affinity purification
Gene ID
8751
RRID
AB_2863537
Buffer Information
Store at -20℃. Avoid freeze / thaw cycles. Buffer: PBS containing 50% glycerol and 0.05% BSA, preserved with proclin300 or sodium azide, pH 7.3.
Western blot analysis of lysates from HCT116 cells, using ADAM15 Rabbit mAb (CAB6813) at 1:1000 dilution. Secondary antibody: HRP-conjugated Goat anti-Rabbit IgG (H+L) (CABS014) at 1:10000 dilution. Lysates/proteins: 25μg per lane. Blocking buffer: 3% nonfat dry milk in TBST. Detection: ECL Basic Kit (AbGn00020). Exposure time: 60s.
Immunohistochemistry analysis of paraffin-embedded Human colon carcinoma tissue using ADAM15 Rabbit mAb (CAB6813) at a dilution of 1:200 (40x lens). High pressure antigen retrieval performed with 0.01M Citrate buffer (pH 6.0) prior to IHC staining.
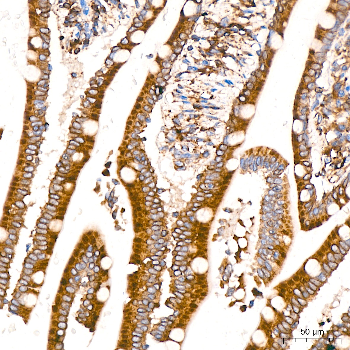
Immunohistochemistry analysis of paraffin-embedded Human small intestine tissue using ADAM15 Rabbit mAb (CAB6813) at a dilution of 1:200 (40x lens). High pressure antigen retrieval performed with 0.01M Citrate buffer (pH 6.0) prior to IHC staining.
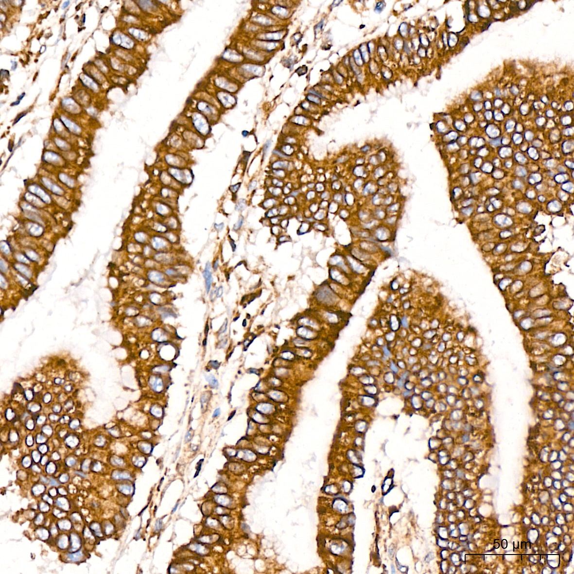
Immunohistochemistry analysis of paraffin-embedded Mouse intestin tissue using ADAM15 Rabbit mAb (CAB6813) at a dilution of 1:200 (40x lens). High pressure antigen retrieval performed with 0.01M Citrate buffer (pH 6.0) prior to IHC staining.
Immunofluorescence analysis of paraffin-embedded Rat rectum tissue using ADAM15 Rabbit mAb (CAB6813) at dilution of 1:100 (40x lens). Secondary antibody: Cy3-conjugated Goat anti-Rabbit IgG (H+L) (CABS007) at 1:500 dilution. Blue: DAPI for nuclear staining. High pressure antigen retrieval performed with 0.01M Citrate Buffer (pH 6.0) prior to IF staining.
Confocal imaging of paraffin-embedded Human colon cancer tissue using ADAM15 Rabbit mAb (CAB6813, dilution 1:200) followed by a further incubation with Cy3 Goat Anti-Rabbit IgG (H+L) (CABS007, dilution 1:500)(Red). DAPI was used for nuclear staining (Blue). Objective: 40x. High pressure antigen retrieval performed with 0.01M Citrate Buffer (pH 6.0) prior to IF staining.
Confocal imaging of paraffin-embedded Mouse large intestine tissue using ADAM15 Rabbit mAb (CAB6813,dilution 1:200) followed by a further incubation with Cy3 Goat Anti-Rabbit IgG (H+L) (CABS007,dilution 1:500)(Red).DAPI was used for nuclear staining (Blue). Objective: 40x. High pressure antigen retrieval performed with 0.01M Citrate Buffer (pH 6.0) prior to IF staining.