ADAMTS14 Antibody is a premium polyclonal that offers outstanding performance and reliability for demanding research applications. Rigorously validated for ELISA, IHC, this antibody ensures consistent, reproducible results across multiple experimental platforms. Demonstrates excellent reactivity with Human samples, providing researchers with confidence in cross-species compatibility. Conveniently packaged in 50ul format to meet your experimental needs. For optimal performance, store at -20°C or -80°C and maintains stability for 12 months. Backed by rigorous quality control testing to ensure superior performance in your critical research applications.
Product Name:
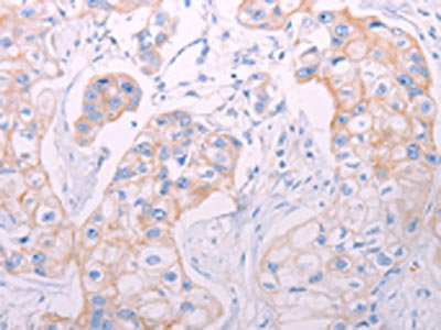
ADAMTS14 Antibody
SKU:
PACO19058
Size:
50μl
Isotype:
IgG
Host Species:
Rabbit
Reactivity:
Human
Immunogen:
Synthetic peptide of Human ADAMTS14
Immunogen Species:
Homo sapiens (Human)
Uniprot No:
Q8WXS8
Form:
Liquid
Tested Applications:
ELISAIHC
Recommended Dilution:
Application
Recommended Dilution
ELISA
1:2000-1:5000
IHC
1:25-1:100
Synonyms:
ADAMTS14A disintegrin and metalloproteinase with thrombospondin motifs 14 antibody, ADAM-TS 14 antibody, ADAM-TS14 antibody, ADAMTS-14 antibody, EC 3.4.24.- antibody
Target Names:
ADAMTS14
Storage Buffer:
-20°C, pH7.4 PBS, 0.05% NaN3, 40% Glycerol
Purification:
Antigen affinity purification
Conjugate:
Non-conjugated
The image on the left is immunohistochemistry of paraffin-embedded Human breast cancer tissue using PACO19058 at dilution 1/50, on the right is treated with synthetic peptide. (Original magnification: ×200)