Adck2 Antibody is a premium polyclonal that offers outstanding performance and reliability for demanding research applications. Rigorously validated for ELISA, WB, IHC, this antibody ensures consistent, reproducible results across multiple experimental platforms. Demonstrates excellent reactivity with Mouse, Human samples, providing researchers with confidence in cross-species compatibility. Conveniently packaged in 50ug format to meet your experimental needs. For optimal performance, store at -20°C or -80°C and maintains stability for 12 months. Backed by rigorous quality control testing to ensure superior performance in your critical research applications.
Product Name:
Adck2 Antibody
SKU:
PACO37070
Size:
50μg
Isotype:
IgG
Host Species:
Rabbit
Reactivity:
Mouse, Human
Immunogen:
Recombinant Mouse Uncharacterized aarF domain-containing protein kinase 2 protein (200-609AA)
Immunogen Species:
Mus musculus (Mouse)
Uniprot No:
Q6NSR3
Form:
Liquid
Tested Applications:
ELISAWBIHC
Recommended Dilution:
Application
Recommended Dilution
WB
1:1000-1:5000
IHC
1:20-1:200
Synonyms:
Adck2Uncharacterized aarF domain-containing protein kinase 2 antibody, EC 2.7.11.- antibody
Western blot All lanes: Adck2 antibody at 2µg/ml + K562 whole cell lysate Secondary Goat polyclonal to rabbit IgG at 1/15000 dilution Predicted band size: 69 kDa Observed band size: 69 kDa
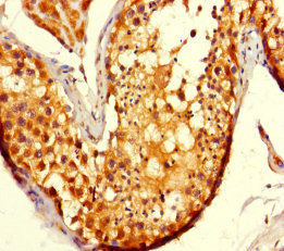
Immunohistochemistry of paraffin-embedded human testis tissue using PACO37070 at dilution of 1:100
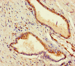
Immunohistochemistry of paraffin-embedded human prostate cancer using PACO37070 at dilution of 1:100