The ADK Antibody (CAB15023) is a high-quality antibody developed for reliable detection and analysis of target proteins. This gene an enzyme which catalyzes the transfer of the gamma-phosphate from ATP to adenosine, thereby serving as a regulator of concentrations of both extracellular adenosine and intracellular adenine nucleotides. Adenosine has widespread effects on the cardiovascular, nervous, respiratory, and immune systems and inhibitors of the enzyme could play an important pharmacological role in increasing intravascular adenosine concentrations and acting as anti-inflammatory agents. Multiple transcript variants encoding different isoforms have been found for this gene. RRID AB_2761903 Gene ID 132 Swiss Prot Synonym AK; ADK
This antibody is validated for use in WB, IHC-P, IF/ICC, ELISA applications and has demonstrated reactivity against Human, Mouse, Rat samples.
Product Name:
ADK Antibody
SKU:
CAB15023
Size:
100μL, 20μL
Reactivity:
Human, Mouse, Rat
Clone Number:
-
Conjugate:
Unconjugated
Immunogen:
Recombinant protein (or fragment).This information is considered to be commercially sensitive.
Tested Applications:
WBIHC-PIF/ICCELISA
Recommended Dilution:
WB
1:500 - 1:2000
IHC-P
1:100 - 1:500
IF
/
ICC
1:50 - 1:200
ELISA
Recommended starting concentration is 1 μg/mL. Please optimize the concentration based on your specific assay requirements.
Synonyms:
AK, ADK
Positive Sample:
LO2, A-431, Mouse testis, Mouse kidney, Mouse spleen, Rat liver
Cellular Localization:
Cytoplasm, Nucleus.
Calculated MW:
41kDa
Observed MW:
41kDa
This gene an enzyme which catalyzes the transfer of the gamma-phosphate from ATP to adenosine, thereby serving as a regulator of concentrations of both extracellular adenosine and intracellular adenine nucleotides. Adenosine has widespread effects on the cardiovascular, nervous, respiratory, and immune systems and inhibitors of the enzyme could play an important pharmacological role in increasing intravascular adenosine concentrations and acting as anti-inflammatory agents. Multiple transcript variants encoding different isoforms have been found for this gene. RRID AB_2761903 Gene ID 132 Swiss Prot Synonym AK; ADK
Purification Method:
Affinity purification
Gene ID:
132
RRID:
AB_2761903
Buffer Information:
Store at -20℃. Avoid freeze / thaw cycles. Buffer: PBS with 0.01% thimerosal,50% glycerol,pH7.3.
Western blot analysis of various lysates using ADK Rabbit pAb (CAB15023) at 1:1000 dilution. Secondary antibody: HRP-conjugated Goat anti-Rabbit IgG (H+L) (AS014) at 1:10000 dilution. Lysates/proteins: 25μg per lane. Blocking buffer: 3% nonfat dry milk in TBST. Detection: ECL Basic Kit (AbGn00020). Exposure time: 5s.
Western blot analysis of various lysates using ADK Rabbit pAb (CAB15023) at 1:1000 dilution. Secondary antibody: HRP-conjugated Goat anti-Rabbit IgG (H+L) (AS014) at 1:10000 dilution. Lysates/proteins: 25μg per lane. Blocking buffer: 3% nonfat dry milk in TBST. Detection: ECL Basic Kit (AbGn00020). Exposure time: 90s.
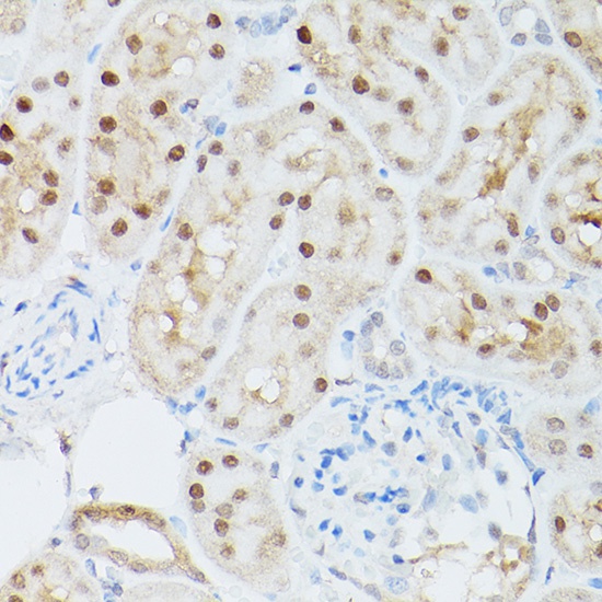
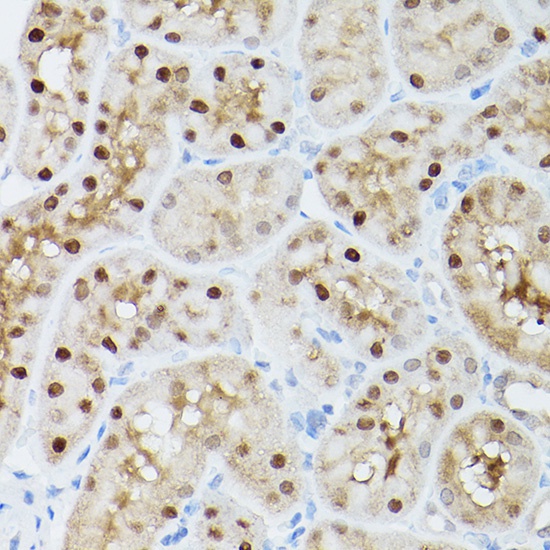
Immunohistochemistry analysis of paraffin-embedded Mouse kidney using ADK Rabbit pAb (CAB15023) at dilution of 1:300 (40x lens). High pressure antigen retrieval performed with 0.01M Citrate buffer (pH 6.0) prior to IHC staining.
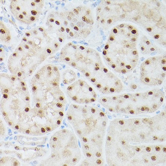
Immunohistochemistry analysis of paraffin-embedded Rat kidney using ADK Rabbit pAb (CAB15023) at dilution of 1:300 (40x lens). High pressure antigen retrieval performed with 0.01M Citrate buffer (pH 6.0) prior to IHC staining.
Immunohistochemistry analysis of paraffin-embedded Mouse kidney using ADK Rabbit pAb (CAB15023) at dilution of 1:300 (40x lens). High pressure antigen retrieval performed with 0.01M Citrate buffer (pH 6.0) prior to IHC staining.
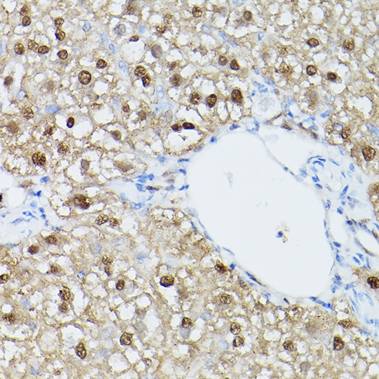
Immunohistochemistry analysis of paraffin-embedded Rat liver using ADK Rabbit pAb (CAB15023) at dilution of 1:300 (40x lens). High pressure antigen retrieval performed with 0.01M Citrate buffer (pH 6.0) prior to IHC staining.
Immunofluorescence analysis of HeLa cells using ADK Rabbit pAb (CAB15023) at dilution of 1:100. Secondary antibody: Cy3-conjugated Goat anti-Rabbit IgG (H+L) (AS007) at 1:500 dilution. Blue: DAPI for nuclear staining.
Immunofluorescence analysis of NIH/3T3 cells using ADK Rabbit pAb (CAB15023) at dilution of 1:100. Secondary antibody: Cy3-conjugated Goat anti-Rabbit IgG (H+L) (AS007) at 1:500 dilution. Blue: DAPI for nuclear staining.
Immunofluorescence analysis of HeLa cells using ADK Rabbit pAb (CAB15023) at dilution of 1:100. Secondary antibody: Cy3-conjugated Goat anti-Rabbit IgG (H+L) (AS007) at 1:500 dilution. Blue: DAPI for nuclear staining.