The AFG1L Polyclonal Antibody (PAC038066) is a valuable tool for researchers studying AFG1L, a protein known for its role in mitochondrial energy metabolism. This antibody, derived from rabbits, exhibits high specificity and reactivity towards human samples, making it ideal for use in Western blot assays. By binding to the AFG1L protein, this antibody allows for precise detection and analysis in a variety of cell types.AFG1L is a key player in mitochondrial function, particularly in the ATP-dependent protease activity that helps to maintain mitochondrial protein quality control. Dysregulation of AFG1L has been linked to various human diseases, including neurodegenerative disorders and metabolic conditions.
Research on AFG1L is essential for advancing our understanding of mitochondrial biology and developing potential therapeutic strategies for related diseases.In conclusion, the AFG1L Polyclonal Antibody is a crucial tool for scientists exploring the functions and implications of AFG1L in cellular metabolism and disease. Its specificity and reliability make it a valuable resource for researchers in the fields of biochemistry, cell biology, and mitochondrial research.
Western Blot. Positive WB detected in: A549 whole cell lysate, Rat kidney tissue. All lanes: AFG1L antibody at 3µg/ml. Secondary. Goat polyclonal to rabbit IgG at 1/50000 dilution. Predicted band size: 55 kDa. Observed band size: 55 kDa.
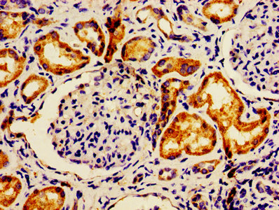
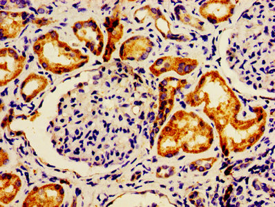
IHC image of PACO38066 diluted at 1:600 and staining in paraffin-embedded human kidney tissue performed on a Leica BondTM system. After dewaxing and hydration, antigen retrieval was mediated by high pressure in a citrate buffer (pH 6.0). Section was blocked with 10% normal goat serum 30min at RT. Then primary antibody (1% BSA) was incubated at 4°C overnight. The primary is detected by a biotinylated secondary antibody and visualized using an HRP conjugated SP system.
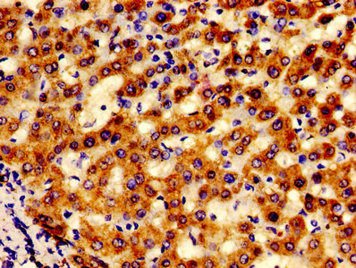
IHC image of PACO38066 diluted at 1:600 and staining in paraffin-embedded human liver cancer performed on a Leica BondTM system. After dewaxing and hydration, antigen retrieval was mediated by high pressure in a citrate buffer (pH 6.0). Section was blocked with 10% normal goat serum 30min at RT. Then primary antibody (1% BSA) was incubated at 4°C overnight. The primary is detected by a biotinylated secondary antibody and visualized using an HRP conjugated SP system.
Putative mitochondrial ATPase. Plays a role in mitochondrial morphology and mitochondrial protein metabolism. Promotes degradation of excess nuclear-encoded complex IV subunits (COX4I1, COX5A and COX6A1) and normal activity of complexes III and IV of the respiratory chain (PubMed:26759378, PubMed:27323408). Mediates mitochondrial translocation of TP53 and its transcription-independent apoptosis in response to genotoxic stress (PubMed:27323408).
UniProt Protein Details:
NCBI Summary:
This gene encodes a mitochondrial integral membrane protein that plays a role in mitochondrial protein homeostasis. The protein contains a P-loop motif and a five-domain structure that is conserved in fly, yeast, and bacteria. It functions to mediate the degradation of nuclear-encoded complex IV subunits. Two conserved estrogen receptor binding sites are located within 2.5 kb of this gene. Polymorphisms in this gene have been associated with bipolar disorder. Alternative splicing results in multiple transcript variants. [provided by RefSeq, Apr 2016]