The AFG3L2 Antibody (CAB15393) is a high-quality antibody developed for reliable detection and analysis of target proteins. This antibody, generated in rabbits, is highly specific to human AFG3L2 and has been validated for use in Western blot applications. By binding to the AFG3L2 protein, this antibody enables researchers to detect and analyze AFG3L2 levels in a variety of cell types, making it ideal for studies in mitochondrial biology and neurodegenerative diseases.AFG3L2 plays a crucial role in maintaining mitochondrial function and protecting cells from stress-induced damage. Dysregulation of AFG3L2 has been linked to neurodegenerative disorders such as spinocerebellar ataxia and hereditary spastic paraplegia.
This antibody is validated for use in WB, IHC-P, IP, ELISA applications and has demonstrated reactivity against Human, Mouse, Rat samples.
Product Name:
AFG3L2 Antibody
SKU:
CAB15393
Size:
20μL, 100μL
Reactivity:
Human, Mouse, Rat
Conjugate:
Unconjugated
Immunogen:
Recombinant protein (or fragment).This information is considered to be commercially sensitive.
This gene encodes a protein localized in mitochondria and closely related to paraplegin. The paraplegin gene is responsible for an autosomal recessive form of hereditary spastic paraplegia. This gene is a candidate gene for other hereditary spastic paraplegias or neurodegenerative disorders.
Purification Method
Affinity purification
Gene ID
10939
RRID
AB_2762300
Buffer Information
Store at -20℃. Avoid freeze / thaw cycles. Buffer: PBS containing 50% glycerol, preserved with proclin300 or sodium azide, pH 7.3.
Western blot analysis of various lysates, using AFG3L2 Rabbit pAb (CAB15393) at 1:500 dilution. Secondary antibody: HRP-conjugated Goat anti-Rabbit IgG (H+L) (CABS014) at 1:10000 dilution. Lysates/proteins: 25μg per lane. Blocking buffer: 3% nonfat dry milk in TBST. Detection: ECL Basic Kit (AbGn00020). Exposure time: 30s.
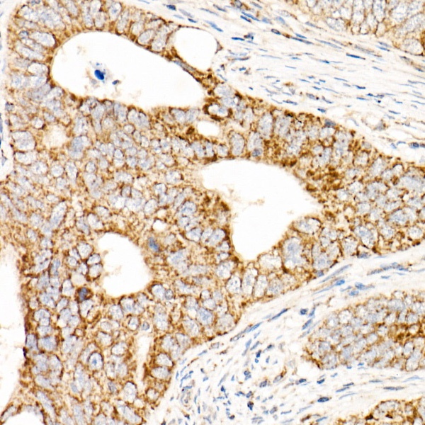
Immunohistochemistry analysis of paraffin-embedded Human colon carcinoma using AFG3L2 Rabbit pAb (CAB15393) at dilution of 1:50 (40x lens). High pressure antigen retrieval performed with 0.01M Citrate buffer (pH 6.0) prior to IHC staining.