AGAP1 Antibody is a premium polyclonal that offers outstanding performance and reliability for demanding research applications. Rigorously validated for ELISA, WB, IHC, this antibody ensures consistent, reproducible results across multiple experimental platforms. Demonstrates excellent reactivity with Human, Mouse samples, providing researchers with confidence in cross-species compatibility. Conveniently packaged in 50ul format to meet your experimental needs. For optimal performance, store at -20°C or -80°C and maintains stability for 12 months. Backed by rigorous quality control testing to ensure superior performance in your critical research applications.
Product Name:
AGAP1 Antibody
SKU:
PACO18527
Size:
50μl
Isotype:
IgG
Host Species:
Rabbit
Reactivity:
Human, Mouse
Immunogen:
Synthetic peptide of Human AGAP1
Immunogen Species:
Homo sapiens (Human)
Uniprot No:
Q9UPQ3
Form:
Liquid
Tested Applications:
ELISAWBIHC
Recommended Dilution:
Application
Recommended Dilution
ELISA
1:2000-1:5000
WB
1:500-1:2000
IHC
1:25-1:100
Synonyms:
AGAP 1 antibody, AGAP-1 antibody, Agap1 antibody, AGAP1_HUMAN antibody, Arf GAP with GTP binding proteinlike ANK repeat and PH domains 1 antibody, Arf-GAP with GTPase, ANK repeat and PH domain-containing protein 1 antibody, ArfGAP with GTPase domain ankyrin repeat and PH domain 1 antibody, Centaurin gamma 2 antibody, Centaurin-gamma-2 antibody, CENTG2 antibody, Cnt-g2 antibody, GGAP 1 antibody, GGAP1 antibody, GTP binding and GTPase activating protein 1 antibody, GTP-binding and GTPase-activating protein 1 antibody, KIAA1099 antibody, MGC71657 antibody
Target Names:
AGAP1
Storage Buffer:
-20°C, pH7.4 PBS, 0.05% NaN3, 40% Glycerol
Purification:
Antigen affinity purification
Conjugate:
Non-conjugated
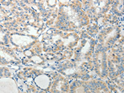
The image on the left is immunohistochemistry of paraffin-embedded Human thyroid cancer tissue using PACO18527 at dilution 1/25, on the right is treated with synthetic peptide. (Original magnification: ×200)
The image on the left is immunohistochemistry of paraffin-embedded Human liver cancer tissue using PACO18527 at dilution 1/25, on the right is treated with synthetic peptide. (Original magnification: ×200)
Gel: 8%SDS-PAGE, Lysate: 40 µg, Lane 1-3: Human liver cancer tissue, hela cells, mouse lung tissue, Primary antibody: PACO18527 at dilution 1/400, Secondary antibody: Goat anti rabbit IgG at 1/8000 dilution, Exposure time: 1 minute