The AIFM2 Antibody (CAB12128) is a high-quality antibody developed for reliable detection and analysis of target proteins. This rabbit-derived antibody is highly specific to human samples and has been validated for use in Western blot applications. By targeting the AIFM2 protein, this antibody allows for precise detection and analysis in various cell types, making it ideal for studies related to mitochondrial dysfunction, metabolism, and cell death pathways.AIFM2, also known as a putative mitochondrial inner membrane protein, plays a critical role in maintaining mitochondrial integrity and function.
This antibody is validated for use in WB, IHC-P, ELISA applications and has demonstrated reactivity against Human, Mouse, Rat samples.
Product Name:
AIFM2 Antibody
SKU:
CAB12128
Size:
20μL, 100μL
Reactivity:
Human, Mouse, Rat
Conjugate:
Unconjugated
Immunogen:
Recombinant protein (or fragment).This information is considered to be commercially sensitive.
This gene encodes a flavoprotein oxidoreductase that binds single stranded DNA and is thought to contribute to apoptosis in the presence of bacterial and viral DNA. The expression of this gene is also found to be induced by tumor suppressor protein p53 in colon cancer cells.
Purification Method
Affinity purification
Gene ID
84883
RRID
AB_2759017
Buffer Information
Store at -20℃. Avoid freeze / thaw cycles. Buffer: PBS containing 50% glycerol, preserved with proclin300 or sodium azide, pH 7.3.
Western blot analysis of lysates from HepG2 cells, using AIFM2/FSP1 Rabbit pAb (CAB12128) at 1:1000 dilution. Secondary antibody: HRP-conjugated Goat anti-Rabbit IgG (H+L) (CABS014) at 1:10000 dilution. Lysates/proteins: 25μg per lane. Blocking buffer: 3% nonfat dry milk in TBST. Detection: ECL Enhanced Kit (AbGn00021). Exposure time: 180s.
Western blot analysis of various lysates using AIFM2/FSP1 Rabbit pAb (CAB12128) at 1:1000 dilution. Secondary antibody: HRP-conjugated Goat anti-Rabbit IgG (H+L) (CABS014) at 1:10000 dilution. Lysates/proteins: 25μg per lane. Blocking buffer: 3% nonfat dry milk in TBST. Detection: ECL Enhanced Kit (AbGn00021). Exposure time: 60s.
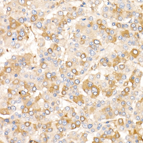
Immunohistochemistry analysis of paraffin-embedded Human liver cancer using AIFM2/FSP1 Rabbit pAb (CAB12128) at dilution of 1:20 (40x lens). High pressure antigen retrieval performed with 0.01M Citrate buffer (pH 6.0) prior to IHC staining.