The ISY1 Antibody (CAB13828) is a high-quality antibody developed for reliable detection and analysis of target proteins. This antibody, raised in rabbits, exhibits high reactivity with human samples and is validated for use in Western blot applications. By binding to the ISY1 protein, this antibody allows for the detection and analysis of ISY1 in various cell types, making it an ideal tool for studies in molecular biology and gene expression regulation.ISY1 is a key player in the intricate process of RNA metabolism, playing a crucial role in the regulation of RNA splicing and gene expression.
This antibody is validated for use in WB, ELISA applications and has demonstrated reactivity against Human, Mouse samples.
Product Name:
ISY1 Antibody
SKU:
CAB13828
Size:
20μL, 100μL
Reactivity:
Human, Mouse
Conjugate:
Unconjugated
Immunogen:
Recombinant protein (or fragment).This information is considered to be commercially sensitive.
Enables RNA binding activity. Involved in mRNA splicing, via spliceosome. Located in nucleus. Part of U2-type catalytic step 1 spliceosome and catalytic step 2 spliceosome.
Purification Method
Affinity purification
Gene ID
57461
RRID
AB_2760682
Buffer Information
Store at -20℃. Avoid freeze / thaw cycles. Buffer: PBS with 0.01% thimerosal,50% glycerol,pH7.3.
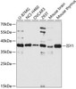
Western blot analysis of various lysates using ISY1 Rabbit pAb (CAB13828) at 1:3000 dilution. Secondary antibody: HRP-conjugated Goat anti-Rabbit IgG (H+L) (CABS014) at 1:10000 dilution. Lysates/proteins: 25μg per lane. Blocking buffer: 3% nonfat dry milk in TBST. Detection: ECL Basic Kit (AbGn00020). Exposure time: 90s.