The AK5 Antibody (CAB15424) is a high-quality antibody developed for reliable detection and analysis of target proteins. The antibody, raised in rabbits, is highly specific to human samples and has been validated for use in Western blot applications. By binding to the AK5 protein, this antibody allows for the detection and analysis of AK5 levels in various cell types, providing crucial insights into its role in energy production and cellular signaling pathways.AK5, also known as adenylate kinase 5, is essential for maintaining cellular energy homeostasis and regulating processes such as cell growth and proliferation.
This antibody is validated for use in WB, IHC-P, ELISA applications and has demonstrated reactivity against Human, Mouse, Rat samples.
Product Name:
AK5 Antibody
SKU:
CAB15424
Size:
20μL, 100μL
Reactivity:
Human, Mouse, Rat
Conjugate:
Unconjugated
Immunogen:
Recombinant protein (or fragment).This information is considered to be commercially sensitive.
Recommended starting concentration is 1 μg/mL. Please optimize the concentration based on your specific assay requirements.
Synonyms:
AK6, AK5
Positive Sample:
LO2, Jurkat, Mouse liver, Rat liver
Cellular Localization:
Cytoplasm.
Calculated MW:
63kDa
Observed MW:
63kDa
This gene encodes a member of the adenylate kinase family, which is involved in regulating the adenine nucleotide composition within a cell by catalyzing the reversible transfer of phosphate groups among adenine nucleotides. This member is related to the UMP/CMP kinase of several species. It is located in the cytosol and expressed exclusively in brain. Alternatively spliced transcript variants encoding distinct isoforms have been identified for this gene.
Purification Method
Affinity purification
Gene ID
26289
RRID
AB_2762332
Buffer Information
Store at -20℃. Avoid freeze / thaw cycles. Buffer: PBS with 0.01% thimerosal,50% glycerol,pH7.3.
Western blot analysis of various lysates using AK5 Rabbit pAb (CAB15424) at 1:1000 dilution. Secondary antibody: HRP-conjugated Goat anti-Rabbit IgG (H+L) (CABS014) at 1:10000 dilution. Lysates/proteins: 25μg per lane. Blocking buffer: 3% nonfat dry milk in TBST. Detection: ECL Basic Kit (AbGn00020). Exposure time: 10s.
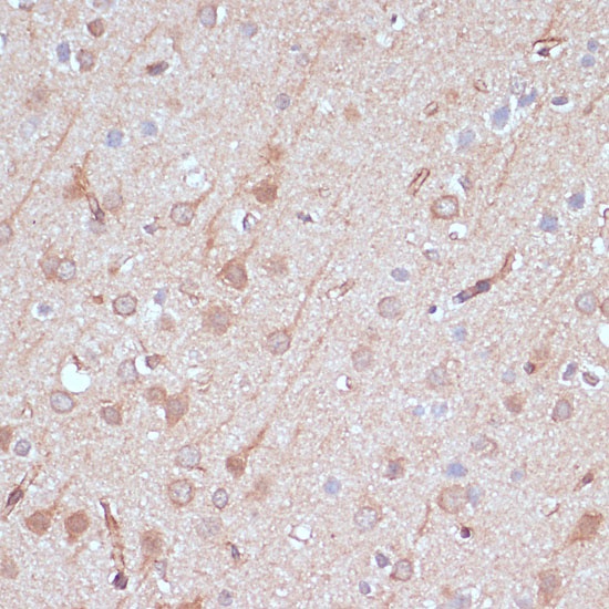
Immunohistochemistry analysis of paraffin-embedded Rat brain using AK5 Rabbit pAb (CAB15424) at dilution of 1:100 (40x lens). Microwave antigen retrieval performed with 0.01M PBS Buffer (pH 7.2) prior to IHC staining.