The ALG1 Antibody (CAB7818) is a high-quality antibody developed for reliable detection and analysis of target proteins. This antibody, produced in rabbits, exhibits high reactivity with human samples and has been validated for use in various applications, including Western blotting.ALG1 is an essential enzyme in the glycosylation pathway, playing a crucial role in the modification of proteins for proper cellular function. Dysregulation of ALG1 has been linked to various diseases, making it a promising target for therapeutic interventions. By using the ALG1 Polyclonal Antibody, researchers can investigate the expression and localization of ALG1 in different cell types, providing insights into its biological functions and potential implications in disease pathogenesis.
This antibody is validated for use in WB, ELISA applications and has demonstrated reactivity against Human, Mouse, Rat samples.
Product Name:
ALG1 Antibody
SKU:
CAB7818
Size:
20μL, 100μL
Reactivity:
Human, Mouse, Rat
Conjugate:
Unconjugated
Immunogen:
Recombinant protein (or fragment).This information is considered to be commercially sensitive.
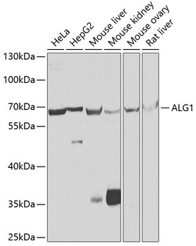
HeLa, HepG2, Mouse liver, Mouse kidney, Mouse ovary, Rat liver
Cellular Localization:
Endoplasmic Reticulum Membrane, Single-Pass Type Ii Membrane Protein.
Calculated MW:
53kDa
Observed MW:
60kDa
The enzyme encoded by this gene catalyzes the first mannosylation step in the biosynthesis of lipid-linked oligosaccharides. This gene is mutated in congenital disorder of glycosylation type Ik.
Purification Method
Affinity purification
Gene ID
56052
RRID
AB_2768333
Buffer Information
Store at -20℃. Avoid freeze / thaw cycles. Buffer: PBS containing 50% glycerol, preserved with proclin300 or sodium azide, pH 7.3.
Western blot analysis of various lysates using ALG1 Rabbit pAb (CAB7818) at 1:1000 dilution. Secondary antibody: HRP-conjugated Goat anti-Rabbit IgG (H+L) (CABS014) at 1:10000 dilution. Lysates/proteins: 25μg per lane. Blocking buffer: 3% nonfat dry milk in TBST. Detection: ECL Basic Kit (AbGn00020). Exposure time: 30s.