The ANGPT2 Antibody (CAB0698) is a high-quality antibody developed for reliable detection and analysis of target proteins. This antibody, produced in rabbits, exhibits high reactivity with human samples and is validated for use in various applications, including Western blot and immunohistochemistry.Angiopoietin-2 is a critical regulator of blood vessel formation and remodeling, making it an important target for investigating diseases such as cancer, cardiovascular disorders, and inflammatory conditions. By targeting angiopoietin-2, researchers can gain insights into the mechanisms underlying these diseases and potentially develop novel therapeutic strategies.
This antibody is validated for use in WB, IF/ICC, ELISA applications and has demonstrated reactivity against Human, Mouse, Rat samples.
Product Name:
ANGPT2 Antibody
SKU:
CAB0698
Size:
20μL, 100μL
Reactivity:
Human, Mouse, Rat
Conjugate:
Unconjugated
Immunogen:
Recombinant protein (or fragment).This information is considered to be commercially sensitive.
Recommended starting concentration is 1 μg/mL. Please optimize the concentration based on your specific assay requirements.
Synonyms:
ANG2, AGPT2, LMPHM10, ANGPT2
Positive Sample:
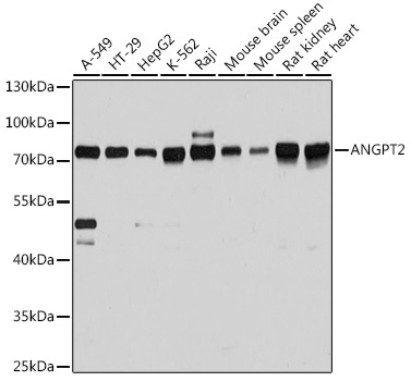
A-549, HT-29, HepG2, K-562, Raji, Mouse brain, Mouse spleen, Rat kidney, Rat heart
Cellular Localization:
Secreted.
Calculated MW:
57kDa
Observed MW:
75kDa
This gene belongs to the angiopoietin family of growth factors. The protein encoded by this gene is an antagonist of angiopoietin 1, and both angiopoietin 1 and angiopoietin 2 are ligands for the endothelial TEK receptor tyrosine kinase. Angiopoietin 2 is upregulated in multiple inflammatory diseases and is implicated in the direct control of inflammation-related signaling pathways. The encoded protein affects angiogenesis during embryogenesis and tumorigenesis, disrupts the vascular remodeling ability of angiopoietin 1, and may induce endothelial cell apoptosis. This gene serves a prognostic biomarker for acute respiratory distress syndrome.
Purification Method
Affinity purification
Gene ID
285
RRID
AB_2757349
Buffer Information
Store at -20℃. Avoid freeze / thaw cycles. Buffer: PBS with 0.01% thimerosal,50% glycerol,pH7.3.
Western blot analysis of various lysates using ANGPT2 Rabbit pAb (CAB0698) at 1:3000 dilution. Secondary antibody: HRP-conjugated Goat anti-Rabbit IgG (H+L) (CABS014) at 1:10000 dilution. Lysates/proteins: 25μg per lane. Blocking buffer: 3% nonfat dry milk in TBST. Detection: ECL Basic Kit (AbGn00020). Exposure time: 5s.
Immunofluorescence analysis of HeLa cells using ANGPT2 Rabbit pAb (CAB0698) at dilution of 1:100 (40x lens). Secondary antibody: Cy3-conjugated Goat anti-Rabbit IgG (H+L) (CABS007) at 1:500 dilution. Blue: DAPI for nuclear staining.